Cette combinaison n'existe pas.
                                    
        
      
        
            
                
                    
                
            
        
    
        
        
            
                Demande de prix 
            
        
            
            
        
      
    
                                    
            
                
                  Ajoutez pour comparer 
            
        
            
            
             Ajouter à la liste de souhaits 
        
             
            
            
                 
                  Non échangeable 
                  Non remboursable 
                
             
        
                                
        
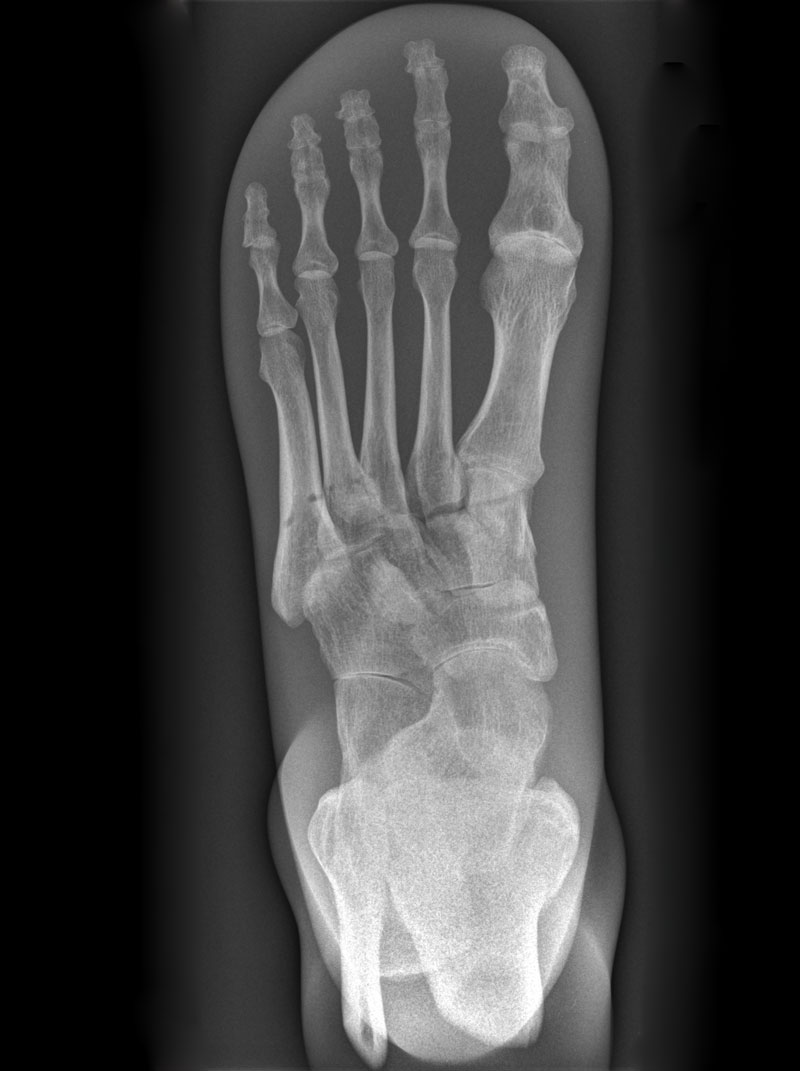
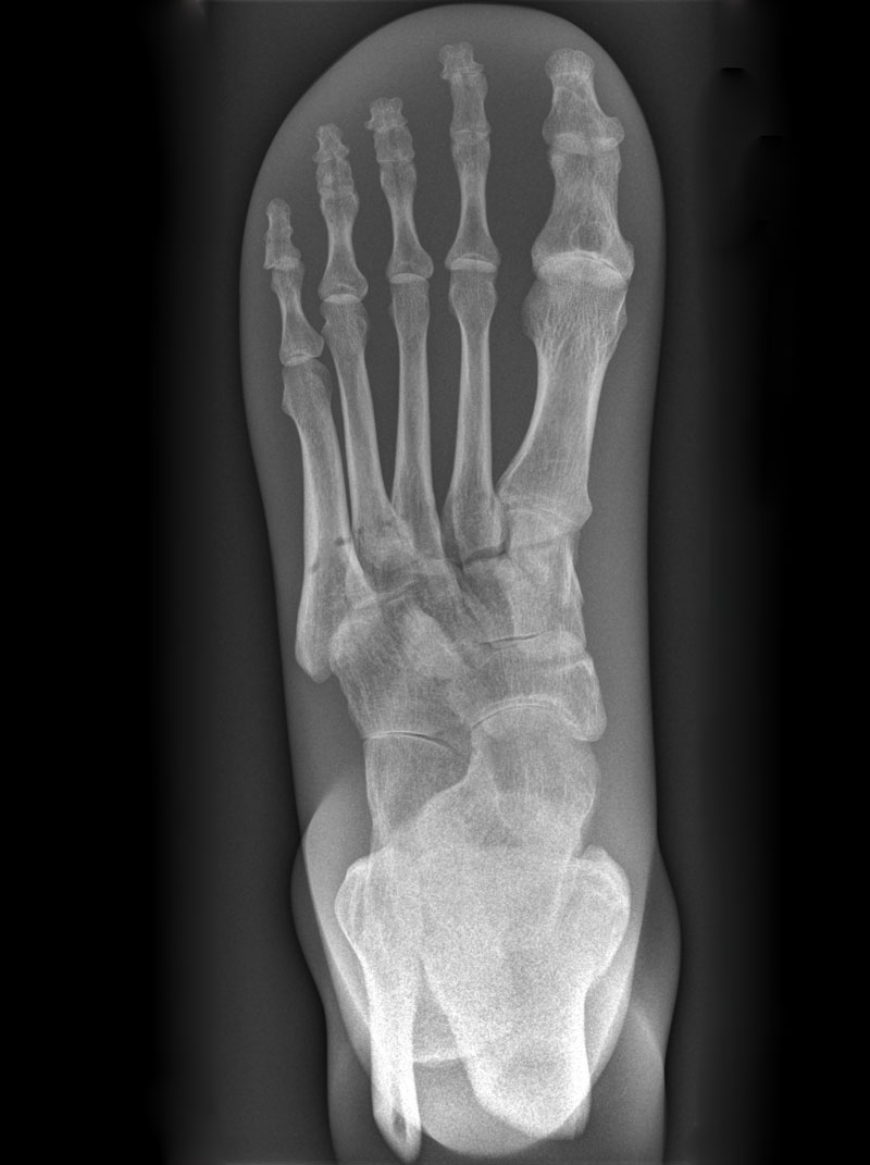
        Modèle - Fantôme de test pour radiologie - pied
        Fantôme de pied avec début de jambe inférieure. Le fantôme comprend de vrais os humains et permet de prendre de vraies images radiographiques.
        /9j/4AAQSkZJRgABAQAAAQABAAD/2wBDAAgGBgcGBQgHBwcJCQgKDBQNDAsLDBkSEw8UHRofHh0aHBwgJC4nICIsIxwcKDcpLDAxNDQ0Hyc5PTgyPC4zNDL/2wBDAQkJCQwLDBgNDRgyIRwhMjIyMjIyMjIyMjIyMjIyMjIyMjIyMjIyMjIyMjIyMjIyMjIyMjIyMjIyMjIyMjIyMjL/wAARCAQABAADASIAAhEBAxEB/8QAHwAAAQUBAQEBAQEAAAAAAAAAAAECAwQFBgcICQoL/8QAtRAAAgEDAwIEAwUFBAQAAAF9AQIDAAQRBRIhMUEGE1FhByJxFDKBkaEII0KxwRVS0fAkM2JyggkKFhcYGRolJicoKSo0NTY3ODk6Q0RFRkdISUpTVFVWV1hZWmNkZWZnaGlqc3R1dnd4eXqDhIWGh4iJipKTlJWWl5iZmqKjpKWmp6ipqrKztLW2t7i5usLDxMXGx8jJytLT1NXW19jZ2uHi4+Tl5ufo6erx8vP09fb3+Pn6/8QAHwEAAwEBAQEBAQEBAQAAAAAAAAECAwQFBgcICQoL/8QAtREAAgECBAQDBAcFBAQAAQJ3AAECAxEEBSExBhJBUQdhcRMiMoEIFEKRobHBCSMzUvAVYnLRChYkNOEl8RcYGRomJygpKjU2Nzg5OkNERUZHSElKU1RVVldYWVpjZGVmZ2hpanN0dXZ3eHl6goOEhYaHiImKkpOUlZaXmJmaoqOkpaanqKmqsrO0tba3uLm6wsPExcbHyMnK0tPU1dbX2Nna4uPk5ebn6Onq8vP09fb3+Pn6/9oADAMBAAIRAxEAPwD3+iiigAooooAKKKKACiiigAooooAKKKKACiiigAooooAKKKKACiiigAooooAKKKKACiiigAooooAKKKKACiiigAooooAKKKKACiiigAooooAKKKKACiiigAooooAKKKKACiiigAooooAKKKKACiiigAooooAKKKKACiiigAooooAKKKKACiiigAooooAKKKKACiiigAooooAKKKKACiiigAooooAKKKKACiiigAooooAKKKKACiiigAooooAKKKKACiiigAooooAKKKKACiiigAooooAKKKKACiiigAooooAKKKKACiiigAooooAKKKKACiiigAooooAKKKKACiiigAooooAKKKKACiiigAooooAKKKKACiiigAooooAKKKKACiiigAooooAKKKKACiiigAooooAKKKKACiiigAooooAKKKKACiiigAooooAKKKKACiiigAooooAKKKKACiiigAooooAKKKKACiiigAooooAKKKKACiiigAooooAKKKKACiiigAooooAKKKKACiiigAooooAKKKKACiiigAooooAKKKKACiiigAooooAKKKKACiiigAooooAKKKKACiiigAooooAKKKKACiiigAooooAKKKKACiiigAooooAKKKKACiiigAooooAKKKKACiiigAooooAKKKKACiiigAooooAKKKKACiiigAooooAKKKKACiiigAooooAKKKKACiiigAooooAKKKKACiiigAooooAKKKKACiiigAooooAKKKKACiiigAooooAKKKKACiiigAooooAKKKKACiiigAooooAKKKKACiiigAooooAKKKKACiiigAooooAKKKKACiiigAooooAKKKKACiiigAooooAKKKKACiiigAooooAKKKKACiiigAooooAKKKKACiiigAooooAKKKKACiiigAooooAKKKKACiiigAooooAKKKKACiiigAooooAKKKKACiiigAooooAKKKKACiiigAooooAKKKKACiiigAooooAKKKKACiiigAooooAKKKKACiiigAooooAKKKKACiiigAooooAKKKKACiiigAooooAKKKKACiiigAooooAKKKKACiiigAooooAKKKKACiiigAooooAKKKKACiiigAooooAKKKKACiiigAooooAKKKKACiiigAooooAKKKKACiiigAooooAKKKKACiiigAooooAKKKKACiiigAooooAKKKKACiiigAooooAKKKKACiiigAooooAKKKKACiiigAooooAKKKKACiiigAooooAKKKKACiiigAooooAKKKKACiiigAooooAKKKKACiiigAooooAKKKKACiiigAooooAKKKKACiiigAooooAKKKKACiiigAooooAKKKKACiiigAooooAKKKKACiiigAooooAKKKKACiiigAooooAKKKKACiiigAooooAKKKKACiiigAooooAKKKKACiiigAooooAKKKKACiiigAooooAKKKKACiiigAooooAKKKKACiiigAooooAKKKKACiiigAooooAKKKKACiiigAooooAKKKKACiiigAooooAKKKKACiiigAooooAKKKKACiiigAooooAKKKKACiiigAooooAKKKKACiiigAooooAKKKKACiiigAooooAKKKKACiiigAooooAKKKKACiiigAooooAKKKKACiiigAooooAKKKKACiiigAooooAKKKKACiiigAooooAKKKKACiiigAooooAKKKKACiiigAooooAKKKKACiiigAooooAKKKKACiiigAooooAKKKKACiiigAooooAKKKKACiiigAooooAKKKKACiiigAooooAKKKKACiiigAooooAKKKKACiiigAooooAKKKKACiiigAooooAKKKKACiiigAooooAKKKKACiiigAooooAKKKKACiiigAooooAKKKKACiiigAooooAKKKKACiiigAooooAKKKKACiiigAooooAKKKKACiiigAooooAKKKKACiiigAooooAKKKKACiiigAooooAKKKKACiiigAooooAKKKKACiiigAooooAKKKKACiiigAooooAKKKKACiiigAooooAKKKKACiiigAooooAKKKKACiiigAooooAKKKKACiiigAooooAKKKKACiiigAooooAKKKKACiiigAooooAKKKKACiiigAooooAKKKKACiiigAooooAKKKKACiiigAooooAKKKKACiiigAooooAKKKKACiiigAooooAKKKKACiiigAooooAKKKKACiiigAooooAKKKKACiiigAooooAKKKKACiiigAooooAKKKKACiiigAooooAKKKKACiiigAooooAKKKKACiiigAooooAKKKKACiiigAooooAKKKKACiiigAooooAKKKKACiiigAooooAKKKKACiiigAooooAKKKKACiiigAooooAKKKKACiiigAooooAKKKKACiiigAooooAKKKKACiiigAooooAKKKKACiiigAooooAKKKKACiiigAooooAKKKKACiiigAooooAKKKKACiiigAooooAKKKKACiiigAooooAKKKKACiiigAooooAKKKKACiiigAooooAKKKKACiiigAooooAKKKKACiiigAooooAKKKKACiiigAooooAKKKKACiiigAooooAKKKKACiiigAooooAKKKKACiiigAooooAKKKKACiiigAooooAKKKKACiiigAooooAKKKKACiiigAooooAKKKKACiiigAooooAKKKKACiiigAooooAKKKKACiiigAooooAKKKKACiiigAooooAKKKKACiiigAooooAKKKKACiiigAooooAKKKKACiiigAooooAKKKKACiiigAooooAKKKKACiiigAooooAKKKKACiiigAooooAKKKKACiiigAooooAKKKKACiiigAooooAKKKKACiiigAooooAKKKKACiiigAooooAKKKKACiiigAooooAKKKKACiiigAooooAKKKKACiiigAooooAKKKKACiiigAooooAKKKKACiiigAooooAKKKKACiiigAooooAKKKKACiiigAooooAKKKKACiiigAooooAKKKKACiiigAooooAKKKKACiiigAooooAKKKKACiiigAooooAKKKKACiiigAooooAKKKKACiiigAooooAKKKKACiiigAooooAKKKKACiiigAooooAKKKKACiiigAooooAKKKKACiiigAooooAKKKKACiiigAooooAKKKKACiiigAooooAKKKKACiiigAooooAKKKKACiiigAooooAKKKKACiiigAooooAKKKKACiiigAooooAKKKKACiiigAooooAKKKKACiiigAooooAKKKKACiiigAooooAKKKKACiiigAooooAKKKKACiiigAooooAKKKKACiiigAooooAKKKKACiiigAooooAKKKKACiiigAooooAKKKKACiiigAooooAKKKKACiiigAooooAKKKKACiiigAooooAKKKKACiiigAooooAKKKKACiiigAooooAKKKKACiiigAooooAKKKKACiiigAooooAKKKKACiiigAooooAKKKKACiiigAooooAKKKKACiiigAooooAKKKKACiiigAooooAKKKKACiiigAooooAKKKKACiiigAooooAKKKKACiiigAooooAKKKKACiiigAooooAKKKKACiiigAooooAKKKKACiiigAooooAKKKKACiiigAooooAKKKKACiiigAooooAKKKKACiiigAooooAKKKKACiiigAooooAKKKKACiiigAooooAKKKKACiiigAooooAKKKKACiiigAooooAKKKKACiiigAooooAKKKKACiiigAooooAKKKKACiiigAooooAKKKKACiiigAooooAKKKKACiiigAooooAKKKKACiiigAooooAKKKKACiiigAooooAKKKKACiiigAooooAKKKKACiiigAooooAKKKKACiiigAooooAKKKKACiiigAooooAKKKKACiiigAooooAKKKKACiiigAooooAKKKKACiiigAooooAKKKKACiiigAooooAKKKKACiiigAooooAKKKKACiiigAooooAKKKKACiiigAooooAKKKKACiiigAooooAKKKKACiiigAooooAKKKKACiiigAooooAKKKKACiiigAooooAKKKKACiiigAooooAKKKKACiiigAooooAKKKKACiiigAooooAKKKKACiiigAooooAKKKKACiiigAooooAKKKKACiiigAooooAKKKKACiiigAooooAKKKKACiiigAooooAKKKKACiiigAooooAKKKKACiiigAooooAKKKKACiiigAooooAKKKKACiiigAooooAKKKKACiiigAooooAKKKKACiiigAooooAKKKKACiiigAooooAKKKKACiiigAooooAKKKKACiiigAooooAKKKKACiiigAooooAKKKKACiiigAooooAKKKKACiiigAooooAKKKKACiiigAooooAKKKKACiiigAooooAKKKKACiiigAooooAKKKKACiiigAooooAKKKKACiiigAooooAKKKKACiiigAooooAKKKKACiiigAooooAKKKKACiiigAooooAKKKKACiiigAooooAKKKKACiiigAooooAKKKKACiiigAooooAKKKKACiiigAooooAKKKKACiiigAooooAKKKKACiiigAooooAKKKKACiiigAooooAKKKKACiiigAooooAKKKKACiiigAooooAKKKKACiiigAooooAKKKKACiiigAooooAKKKKACiiigAooooAKKKKACiiigAooooAKKKKACiiigAooooAKKKKACiiigAooooAKKKKACiiigAooooAKKKKACiiigAooooAKKKKACiiigAooooAKKKKACiiigAooooAKKKKACiiigAooooAKKKKACiiigAooooAKKKKACiiigAooooAKKKKACiiigAooooAKKKKACiiigAooooAKKKKACiiigAooooAKKKKACiiigAooooAKKKKACiiigAooooAKKKKACiiigAooooAKKKKACiiigAooooAKKKKACiiigAooooAKKKKACiiigAooooAKKKKACiiigAooooAKKKKACiiigAooooAKKKKACiiigAooooAKKKKACiiigAooooAKKKKACiiigAooooAKKKKACiiigAooooAKKKKACiiigAooooAKKKKACiiigAooooAKKKKACiiigAooooAKKKKACiiigAooooAKKKKACiiigAooooAKKKKACiiigAooooAKKKKACiiigAooooAKKKKACiiigAooooAKKKKACiiigAooooAKKKKACiiigAooooAKKKKACiiigAooooAKKKKACiiigAooooAKKKKACiiigAooooAKKKKACiiigAooooAKKKKACiiigAooooAKKKKACiiigAooooAKKKKACiiigAooooAKKKKACiiigAooooAKKKKACiiigAooooAKKKKACiiigAooooAKKKKACiiigAooooAKKKKACiiigAooooAKKKKACiiigAooooAKKKKACiiigAooooAKKKKACiiigAooooAKKKKACiiigAooooAKKKKACiiigAooooAKKKKACiiigAooooAKKKKACiiigAooooAKKKKACiiigAooooAKKKKACiiigAooooAKKKKACiiigAooooAKKKKACiiigAooooAKKKKACiiigAooooAKKKKACiiigAooooAKKKKACiiigAooooAKKKKACiiigAooooAKKKKACiiigAooooAKKKKACiiigAooooAKKKKACiiigAooooAKKKKACiiigAooooAKKKY0saD5nAoAfRVZr6FehLfQVA+pBQSqdPU0rjszQorJfUpducKhPQYzVZr6dus5z6LxTCzN+ml1HVgPxrnjO5HMjt9TUbTAHofzoCx0RuIh1kX86abyAH/WA/SufEkjY2qR+FNZpU68A0BY321CAd2P0FRnVYB/C/5Vjb8gcn8qYWfHRseuKAsbY1aDusg/4DVmC5iuVLROGx1HcVy4lDBm3LsTlpG4RPqaNI1i2l1JFtSzwn5HmYYDHtj0FG+wOyOuooooEFFFFABRRRQAUUUUAFFFFABRRRQAUUUUAFFFFABRRRQAUUUUAFFFFABRRRQAUUUUAFFFFABRRRQAUUUUAFFFFABRRRQAUUUUAFFFFABRRRQAUUUUAFFFFABRRRQAUUUUAFFFFABRRRQAUUUUAFFFFABRRRQAUUUUAFFFFABRRRQAUUUUAFFFFABRRRQAUUUUAFFFFABRRRQAUUUUAFFFFABRRRQAUUUUAFFFFABRRRQAUUUUAFFFFABRRRQAUUUUAFFFFABRRRQAUUUUAFFFFABRRRQAUZpCcDJqtNfwQg/NuPotAFrNIWAGScVlS6jM/CAIP1qMSNJEGZiTnnNK47Gm95EmRnJ9BVZ75zwoAqnnj0GepppkAzjLEdgKB2RO1xK/VzUTHqT+ZpuWPHyqPY80oUDk5yORmkMZ5mRwM+/ao2Z3xk7VHQKOamJXHOPp0FN8xBwCPwoAYfmXDKTzwfSm+Q+PlwKl356Zx9KaZAMgsM49eaAsMFv3Zs/SnqkakYyT7DNWre2EieY4Z26iMcD8alW3uj08qBfQDJouwVirtlPKxORUUkUkhyykBe2c4rTSxTIaWaWUj/awPyqwiRxDCIq00mJtGNHZTyDMcGBnrKcVaTTUABuJml4+4vyoavnJBJJxTSKqwrkDohjEYjjEXTZt4/Ksa4jtrGGe3iRIfN/exgDGXFbjDtXO+Jlxa2s2CWjm/StKbSepE4uWiOptphPaxTD+NQamrJ0C48/TgCeUP6VrVk9CgooooAKKKKACiiigAooooAKKKKACiiigAooooAKKKKACiiigAooooAKKKKACiiigAooooAKKKKACiiigAooooAKKKKACiiigAooooAKKKKACiiigAooooAKKKKACiiigAooooAKKKKACiiigAooooAKKKKACiiigAooooAKKKKACiiigAooooAKKKKACiiigAooooAKKKKACiiigAooooAKKKKACiiigAooooAKKKKACiiigAooooAKKKKACiiigAooooAKKKKACiiigAooooAKr3V0LZAcFnY4VfWrFZmshfIV3DYGeV6igCvNcSzfffj0XgVXbHBOdw9BWbZTXV9qRto52jtwhcuw+b6CtldLHBN7cfgoGaSuy9EVtxzn8xUiOBEcHnPerQ0q1yN0twx9S1OGlWWfuyt9Xosw5kUdwb5iN3brxS+bjHQD3rRGnWYA/cZA7bjUq29ug+S3jH1GaOVhdGQJQxwHB+gpwikkbCpKSf9nitpQFPyIi/RaUs3qafKLmMpbCZzzCAB3ZqmTTn/jmRfTYKvUvGOlPlFcqDT4AB5jSSH3OKsJDDH9yFAR070+kosguxcnHWjFH60vamIQ0DvR3o70DA5wKSlPPH5UlAEbDmsnXrY3GkXCqTvQbx+HWthhzUZUMdrfdYbTUyBOzuc/4SuFDNCD94cV1grgtGYWN7NETiWGcqw/2c8V3oIOCO4pt31E1bQWiiikAUUUUAFFFFABRRRQAUUUUAFFFFABRRRQAUUUUAFFFFABRRRQAUUUUAFFFFABRRRQAUUUUAFFFFABRRRQAUUUUAFFFFABRRRQAUUUUAFFFFABRRRQAUUUUAFFFFABRRRQAUUUUAFFFFABRRRQAUUUUAFFFFABRRRQAUUUUAFFFFABRRRQAUUUUAFFFFABRRRQAUUUUAFFFFABRRRQAUUUUAFFFFABRRRQAUUUUAFFFFABRRRQAUUUUAFFFFABRRRQAUUUUAFFFFABRRRQAVT1KPzLGUDqBmrlNZQ6lSMgjFAHC6TIU1hY2zhlZK6yKQ4HtXIzq1hrSnoBMM+1dWvyuR71T3GWlUYA/nS7fSmKTUoNADR9KXig9ciigAHXvR3pR1HFL1oAbS/hQOlFAAOtJS96MUAA6UtJS9BQAh6UdqXvR/KgBO9HejH50tADWqF+hz+VTEHrUbDNAHG6qgtvFcjKNouIlb2J9a7PTphPYxtnkDB+tcr4ugdILbUoxkW7eXNj+4eh/CtXw1db4WiZs8bgfWpWwPU36KKKBBRRRQAUUUUAFFFFABRRRQAUUUUAFFFFABRRRQAUUUUAFFFFABRRRQAUUUUAFFFFABRRRQAUUUUAFFFFABRRRQAUUUUAFFFFABRRRQAUUUUAFFFFABRRRQAUUUUAFFFFABRRRQAUUUUAFFFFABRRRQAUUUUAFFFFABRRRQAUUUUAFFFFABRRRQAUUUUAFFFFABRRRQAUUUUAFFFFABRRRQAUUUUAFFFFABRRRQAUUUUAFFFFABRRRQAUUUUAFFFFABRRRQAUUUUAFFFFABRRRQByXii22XCzKPvj8iK1LWUTQRPnJKDP1qTXbYT2O7Ayv9apaSc2EOeSBtJ+lV2Doay1IKiU1IDQMkxkYpvalB4xQ3Y0AFL3pM0ZoAO1L2pKUUAFFFHrQAUUdqKADv1o70VG8qRjkg+2aTaW4LUk7UnJIAOPbFUZdRSMEgxhB1JPOaqf2wzShI0knz0ZFwBWTrwXUtUpvobG0dyc+5prDnqAPeseS41BgpQQQAn5i3JH0qMysd4M0j7v739KPbJ9B+za3ZpXlst1aT2zruWWNlK+9ct4WvNkUSEndE5Q569cGuosJGksInJy6EqTn0rkb6GDSddmhjDq07faFLH5WB6gVad7Mi3Q9BFLVeymFxaRSA5yOasUyQooooAKKKKACiiigAooooAKKKKACiiigAooooAKKKKACiiigAooooAKKKKACiiigAooooAKKKKACiiigAooooAKKKKACiiigAooooAKKKKACiiigAooooAKKKKACiiigAooooAKKKKACiiigAooooAKKKKACiiigAooooAKKKKACiiigAooooAKKKKACiiigAooooAKKKKACiiigAooooAKKKKACiiigAooooAKKKKACiiigAooooAKKKKACiiigAooooAKKKKACiiigAooooAjnjEsDoe4rnNOfyWe3fC7GyoPU109cxdILXWlckqDkA9etPoCNZGz71MpPcVWjJwuf0NTqfemBKCT2+tOxlcUxacD7UDAdaX+dB4IooAXtRR26UnTrgfWgBT6UlNaaNckuDjrjk1FNeRQJvbv0HrUuSQWZY7U13Ea5b6c0oO5Qc9aivFDWkikA5Hc029LgQXMrlSFnRG7k9vpVFobYsTLPLKSOi8VVZjtXJLYPXvTgckZ61w+059zq5OXYsGS3jTalspHq9QPeTZABCAdlGKQnAP1qufTPT9aewWDzCz4J655NAYk8+lRs3zDp747UqkY75FL1Ksa+kOPMnhPVgJB9e9U/FOnG80z7REubizJlT3X+IUlnJ5F3bynsSpA9DXQumDnbkdCPUV0U3eNjmqK0rmP4XvVuLEKDxgMo9q6CuTsLOTQtXZMj7HNITCR/CD1U11grXfUzCiiigAooooAKKKKACiiigAooooAKKKKACiiigAooooAKKKKACiiigAooooAKKKKACiiigAooooAKKKKACiiigAooooAKKKKACiiigAooooAKKKKACiiigAooooAKKKKACiiigAooooAKKKKACiiigAooooAKKKKACiiigAooooAKKKKACiiigAooooAKKKKACiiigAooooAKKKKACiiigAooooAKKKKACiiigAooooAKKKKACiiigAooooAKKKKACiiigAooooAKKKKACiiigArD16H5VmHBFblVNSh86xkHcAmmtwKFtJviUirinPUCsrSn3W6g9a1V+v4U9gJVX0JFPAIHamrTxQMDyKQU7uKTHWgCpfzyW8KPGRy2DmqJvnKg7RzWhfIr2Muedo3DPY1hpnZjqcZrnq3uawSaJ3upA2BwW7gdqqTyuXO45DDBNPmIwuDyf0pj4ERYDGeMVzs2R0ltk2kJLE/IOaLpN9nMv+wah0qTzdOizyV+Qk+1WpF3ROv95SK7VrE5XozmACBnk8DFSjk9hx196gz0ySOxNTx5wRnpXnx3O2WwHGB6evrUUgxyBjI6VNnAI79qic8r1571ozNEcigEEAf/AF6hxhsDIJGQKsPntk5GenWoSwwD/FnpSZSJsE9SK37G4NzbDJIeP5XGOT6Vz5GPmHORnNW9PuPIu1dj8r/I39KunLlZnUjdF7V4d+mTHHzR4cH6Vesp/tFnFLnOVGac6BgVYZVgVI9qytAJtxcWDcmCQhfpXWc3Q26KKKACiiigAooooAKKKKACiiigAooooAKKKKACiiigAooooAKKKKACiiigAooooAKKKKACiiigAooooAKKKKACiiigAooooAKKKKACiiigAooooAKKKKACiiigAooooAKKKKACiiigAooooAKKKKACiiigAooooAKKKKACiiigAooooAKKKKACiiigAooooAKKKKACiiigAooooAKKKKACiiigAooooAKKKKACiiigAooooAKKKKACiiigAooooAKKKKACiiigAooooAKKKKACkZQylT0IwaWg0AYNhF5Us0WMbGxitEd6guQYtTB/hlX9RUyVQyZeRTxTACD0608UALSHrS0UARyJvhkQdWUiuaj+UgfUHNdSOtczIuy4lQ9Vc1hW3TNaXVCSnAH09KiJDJnn8KfL82Bk59qibA2jOBmuVm6NbQpMefCe+HH9a2AM/lXN2cpt7yJh0ztIz1Brpu4rqoyvGxzVVZ3OVf74xzyf506NuvOenNI+Vmlycgsf500dgOua418TOt7Ilbgk9h2qNzwSOnqakPO79KhJwSMHA4NaEDXOVAGeOeDVXeRKSeD6VYJG8qOB2qIjfyRhugNIBzOW46A96lXJAX25NRrGSMgZNTRZL7h1FFg6G9p9z9ptcN/rI/laqVyfsXiCGbolyu0+m4VWsLn7NdCRvuNw/wBPWtXU7cXFnuX70bCRCK6ac7x1OecbSNClqG2k8yBTnnpU1amYUUUUAFFFFABRRRQAUUUUAFFFFABRRRQAUUUUAFFFFABRRRQAUUUUAFFFFABRRRQAUUUUAFFFFABRRRQAUUUUAFFFFABRRRQAUUUUAFFFFABRRRQAUUUUAFFFFABRRRQAUUUUAFFFFABRRRQAUUUUAFFFFABRRRQAUUUUAFFFFABRRRQAUUUUAFFFFABRRRQAUUUUAFFFFABRRRQAUUUUAFFFFABRRRQAUUUUAFFFFABRRRQAUUUUAFFFFABRRRQAUUUUAFFFFABRRRQAUUUUAUtSjJhWVfvRNu/DvSIQeRyO1XHQSIyN0IwazEMiDHVFO1iOopgaC4IzS0yMgrwc0+mMKKKKAE6DrXP6kuzUpfRgGroCOKw9XXF+CRw6cVjW2Lp/EUpl/dqBkE9TUZG4ID2/nUjkmJOeAOlRHhwetcjOmJIQDg9D2rprKYz2kUjfeI5rmRk4B7GtvRZQ1s0JPMZ4+hrai9bGVVe6ZErEXZYAffbg9BSBNrA9yeRTHB+0Yj/gZuvfmnj7rEEYPK5/Wubqzd7IXOCwx06YprrnvgHmnDOzPAxkYpGXKbfbHHrWhBCQSikHHYnsKaqhlOO4OfrUoQsAAxJ6EdqUR46fe7imgECtwQcHA3fSnYxgj15x3p6DdgtnB4YelNkDRgMo3Jn6fhSYIVvm+bABHJX1rT0y6BX7LKc/3CfT0rKJCjeM7ecjv7igHAG3J/iXHp/jTjJp3QpRurM6C2JgmaA9M/LV2sCO6eRVLNl05Vu/0NbkTiSNXHRhmuqDujnmmnqPoooqyAooooAKKKKACiiigAooooAKKKKACiiigAooooAKKKKACiiigAooooAKKKKACiiigAooooAKKKKACiiigAooooAKKKKACiiigAooooAKKKKACiiigAooooAKKKKACiiigAooooAKKKKACiiigAooooAKKKKACiiigAooooAKKKKACiiigAooooAKKKKACiiigAooooAKKKKACiiigAooooAKKKKACiiigAooooAKKKKACiiigAooooAKKKKACiiigAooooAKKKKACiiigAqjKDFdsRwJBkfUVeqteJmIOOqHP4d6ACIgHGMZ54qY1WQ8girFNAFHeiimMKzdZQmCGTH3HwfpWkelVr+PzbCZRycbvyqJq8WOLtJHPnaIQM4OcYqA9R27fSrK4MWccjkGq74YHjpzXDI60ORg2fXpV3S5CupxAcBwVPv3rOjYkZyM56/Spt7IVlQYZG3D2NEZW1CSurDGkEl9Kxxku36Gnvgovp61ntI0d4WXkFy7n69auwskqnYxOOhYetZxd2zSSskTbWEhIx8/OfQU6JenTIP50Ak5j44NKZBjAGM9q0RkyONQA+S3zPj6GpQFLHOTt4yO1RgAhl3Z4z9KfjdGOMMME1QiRSuGGKCA0boe+MH3qIkg45wenvSyNtVA4JLHjHakBFu2kFhtxyfr60pwDlMFT8w+venI7Z2v8x5B3Dmo3iYZCnawHHvSQydG24ZSOe4ra06TKFO2ciueiyy4KMhHOfetCxufLkB3fWtoTsyJxujfopAc9OlLXScwUUUUAFFFFABRRRQAUUUUAFFFFABRRRQAUUUUAFFFFABRRRQAUUUUAFFFFABRRRQAUUUUAFFFFABRRRQAUUUUAFFFFABRRRQAUUUUAFFFFABRRRQAUUUUAFFFFABRRRQAUUUUAFFFFABRRRQAUUUUAFFFFABRRRQAUUUUAFFFFABRRRQAUUUUAFFFFABRRRQAUUUUAFFFFABRRRQAUUUUAFFFFABRRRQAUUUUAFFFFABRRRQAUUUUAFFFFABRRRQAUUUUAFFFFABRRRQAUjDcCD0IxS0UAUYcj5D1Q7atY4qtN+6ud5OFdf1FWQQQD6jNMAooopjCkKCRGQ9GBBpaM8596QjlsGNXTJyrEdPeoG5JBI9q0ruLy7+dRwG5H41nSgKQO464rz5qzO2DuhnIJwc/1qZcGHHTIwfrVdlJbHU8VZBVG9D3qUUzLb92UbP3Gzg96s2xJKODztIx261TvBtlkXdhc5PrU9g23G/p/Ksr6mr1jc0EJZyhAJI4PpTyOAME7eB700EAYztI5GKeCG4HJBzWyMGHIJIGMcZ7fSpB2b14NRANnAGecn3p2cNjGM/eNUiR7IcDgZ9aU/KpUkccgmkY8fNngcH1oB3HqB0PSmBG4zh+4/MUKC6FvTjFSHaWI7kZJ7VXGQ+1jye47UnoNaiMHikxnge/WnQkpJ0Jz0FNmJKnJLMOvFV0l3IAWYEd+5pdSraHV6fcCaHaDytXK5jTrlreZWJAU9R3NdMpDAEcg1105cyOSpGzHUUUVoQFFFFABRRRQAUUUUAFFFFABRRRQAUUUUAFFFFABRRRQAUUUUAFFFFABRRRQAUUUUAFFFFABRRRQAUUUUAFFFFABRRRQAUUUUAFFFFABRRRQAUUUUAFFFFABRRRQAUUUUAFFFFABRRRQAUUUUAFFFFABRRRQAUUUUAFFFFABRRRQAUUUUAFFFFABRRRQAUUUUAFFFFABRRRQAUUUUAFFFFABRRRQAUUUUAFFFFABRRRQAUUUUAFFFFABRRRQAUUUUAFFFFABRRRQAUUUUAVr1A0IJ7GnQ7xCocYYcGnzLvhdfUU2M5iQ+oFNAOooopjCiiigDG1MBdQB7vHxWYSB5hI+tbOsji3cdQxH6ViMDucHgEAA1wVlaR1UtURkhQHAJz+vvU2VKqM5I5/CoY+TjnjjFLn5QQMtms0zRoxfEoaFra8QEqG2OB09jVzSB5tupB3AgjNP1aMz6VdIhwxiJX3xVPwo7TaFHKOTvK57Vk175sn+7NxVWPCswyoAz61KzqhGcexqPChgNh65zjqaeWHQkfN2I6VstDB6kmc7TnGO/rQSMn5eQMj1pqP8oGRtB4HrTsZXgZLdB7VVyWgY4TJIPt6VF5i+YqkFSP1pwB3ZyMdKjaMhs/p3oESF0bJJP07VFJkncw2k8cdBT8hVwfxzURcKhA6dCD1ptjQOd4YK3QYOKpk4j3PGW9COoqwqsjlcAwsuS2cHPbNSrKGXhA+Ooxj6VG5Q6NfLcAhdoH3jySa39NuQ6eUeo5UnvXOP5rttjPyYyBjnPfiprYyW8ocgllPJZq1hLlZnOPMjraKit5hPCrg/X2NS11nKFFFFABRRRQAUUUUAFFFFABRRRQAUUUUAFFFFABRRRQAUUUUAFFFFABRRRQAUUUUAFFFFABRRRQAUUUUAFFFFABRRRQAUUUUAFFFFABRRRQAUUUUAFFFFABRRRQAUUUUAFFFFABRRRQAUUUUAFFFFABRRRQAUUUUAFFFFABRRRQAUUUUAFFFFABRRRQAUUUUAFFFFABRRRQAUUUUAFFFFABRRRQAUUUUAFFFFABRRRQAUUUUAFFFFABRRRQAUUUUAFFFFABRRRQAUUUUAIeQaijUpGqntmpqYaEAlFFFUMKKKMUAUNZTdp+e6yKawpEG7BHXnr0roNUGbBh/tCsKQqGbGcZwPeuPEWudFHYpLxM2GPbK+tT4OGz9eKQwxm4VnOTjaO1SouCTg/KMMKwS0NmyN87+ME8FuOvtWF4deLTdY1TQizCMubm2OOx+8ordfaU25+YnHXtXOeJLOVWtNYg3+ZYNvZY+rj0+lZy30NI66PqdLJJtGDwgPXvVc3OJVGQVwcA96oWGoRanYx3du4cS8lc/6v2NSSIzZKgEg4K55x60ObewcqW5ofa/lC7MYPX1qdZRySw9uf0rNAVF55x0bOaepUFRuJPXFOM3ezJlFF9nXGR696aZRsI6+pqLdGE82UgRDp7mqFzfZXIRpHfiK2HBY+p9BWjkQlcde6tDZRebLIqJnG5+3+NZ66rqV6wNjYL5OeZJeGYf7I7Vd03QmVhcahILqfORuGVjH91R7etb8UQU8IoHsBWd29y9FsYMDXu0tPbsoH3m6Crtugkwc8dgO5rXdFZSGG5SMEGqU1uLeJngBx0x/cHtVLcltESMULqH+bOGbv8ASpNMCtqKhwCGyME9ao+YElAXJB6n1q1aqyXEbDruFbQ3M5aIuadqTxXDrLgKHKFR2rpFIIBByCOK5PWITBfeegwk33sf3h3rT0a/DqLdz/uk/wAq6YvSxzyXU2qKQUtWQFFFFABRRRQAUUUUAFFFFABRRRQAUUUUAFFFFABRRRQAUUUUAFFFFABRRRQAUUUUAFFFFABRRRQAUUUUAFFFFABRRRQAUUUUAFFFFABRRRQAUUUUAFFFFABRRRQAUUUUAFFFFABRRRQAUUUUAFFFFABRRRQAUUUUAFFFFABRRRQAUUUUAFFFFABRRRQAUUUUAFFFFABRRRQAUUUUAFFFFABRRRQAUUUUAFFFFABRRRQAUUUUAFFFFABRRRQAUUUUAFFFFABRRRQAUw96fTD0P1oQCUUUVQxCaXnFHTk0UCKOrn/QlT+J3AFY04BBBOAo7Vp6tITNBGpAIBc5rLmwQ4AyFwfrXFWd2dNJWRBuAcFlO0cCguFdnHD8YQntUjuAgiBBYMG2+o9jSSBlG8FSGOCxGSPas1satkUke9W424wSPbtQjbE2ttOeoI6jvUhIEYXdkZ5Jqoz/ACvNzxwo9qzlGzuVF6HI3tm2gGbVLSUR2AlzLEBnZnvj0rVg1CS6szcW3lXokO3dG+No/wAK0LqxjvLeS1Y5juYyrccAnp+GRXH6Tp80N5Iju1lcxNtKwjaNw6ZXuKzaNk7nWqZXaGFgwlfPEY+UAepqysVvGPLuXBJHzbWwSvpUEcOryoY0mhgX+KRR8zVfs9IityXZ2klbqzcmhEsyVs9S1K6Mlxd+RBnCQwJ91R061vWOmxW5LqCZG6yOcsfxq1HGqjipl7AelWZNiBADnpTgOMgce9DEKMtwB29KiN2v2hIY1LMykk4+VB7+p9qpIV30JjjsPxoXIPH5UsR3Rj94HIPLdP07UgVmwU/WrsSZt1ZiNmMQyhOdvcH2p0OFw4Pb+LqDWhLE0cbOoDsoyAKpQhCrvJgpjJPvWsU+pDZcvEW7sGA5IAIz61i28jLKqngjkHvVx9SjSJtgJR/kB9DVCeFjh1UkAcjpmtepmtrHXaffC6jCtgSgcj196u1xFjqYWRWjUgr1BPNdfa3K3UIdeD3B7VaZDVixRRRVEhRRRQAUUUUAFFFFABRRRQAUUUUAFFFFABRRRQAUUUUAFFFFABRRRQAUUUUAFFFFABRRRQAUUUUAFFFFABRRRQAUUUUAFFFFABRRRQAUUUUAFFFFABRRRQAUUUUAFFFFABRRRQAUUUUAFFFFABRRRQAUUUUAFFFFABRRRQAUUUUAFFFFABRRRQAUUUUAFFFFABRRRQAUUUUAFFFFABRRRQAUUUUAFFFFABRRRQAUUUUAFFFFABRRRQAUUUUAFFFFABRRRQAVEp5cehqWq0bA3cq+1AEtAGaWjFMBC3am8n69KSTqDTE5YDnrSAyr+TdfOeMrhADVCUldyErv9KsXTnzp2yFYtx7Yqq6oFM3JOOnfPtXDN6nbBaCSfKc8ZxggdselMLhkDHO7IIXsf/r09cQkSNk56Y9KhYcsoP3eSeo59KlMpoUnbg4745qvIVyykYyMsc1ZbaxCkb0xk89aqMQWbKg565NKTHFDxIFXgD5h/wB8is+88qTXYXxlzDjJ9jU/+slWMEYJ5zVCwY6hqM10AQiN5cWepA71lJ3NIo6CHgjsR+tXUYN2OD1BqvGnqeT61OTtXJxkd800mQ2TKcA5P0p4IWqv2iNQdxwcU5JvNCrFGzAsAzd196pKxD1JpnyyL6nBPp6U19lsI45XxvbC8dWqwIlWQOMlgNp9x71JGijJcA+g61ohN6Ee1cjcvI43DqfrVgKcDGGHqP8AClKjkqKa52plvlPc96tKxDdxD8w4HQHIPasqW2eJHFtJncDnI/Srx3SkARk7TlZGOB+XepFkBxvxKRnJK42n6VSdt9BW7HM+dkNESAw+8mKs2l0GHkSjJHRj6e9assUDNveGJiTz8vNUbnTI9waIskZ568irVRPQlxZFNpiznzLd1MnpnBqWxvprV1iuMxyJ0Yjhh6GoY0mDuA6SyRnG3O1gKux3MdxILe/hO/BAL8N+FPfYT03OhtrlLlAynnuKnrnI42tSr25cbezc5rbt7lZ1GSA+M7a0TM2ixRRRVEhRRRQAUUUUAFFFFABRRRQAUUUUAFFFFABRRRQAUUUUAFFFFABRRRQAUUUUAFFFFABRRRQAUUUUAFFFFABRRRQAUUUUAFFFFABRRRQAUUUUAFFFFABRRRQAUUUUAFFFFABRRRQAUUUUAFFFFABRRRQAUUUUAFFFFABRRRQAUUUUAFFFFABRRRQAUUUUAFFFFABRRRQAUUUUAFFFFABRRRQAUUUUAFFFFABRRRQAUUUUAFFFFABRRRQAUUUUAFFFFACMcKT6Cs+J8tJJnncKt3LbbZz7VnQt+6bjq3FJ7FRVzUBDAHPWnCqkE21cHkGia52KdpKn3pcysHK7k8g3DA7elRL8vJYDaCSAaoS3s8mUUgg+gxVDzLpD86xjHcHoKylWXY0jRb3ZFJl5HkfHz54NVvM3oiby7KOW7nmrEqblwGAOfTpmo9qJM4VBtU7Rt5zXOzpjoJNkQxuWAEoJH+zRbR5RkkHyjAGKfOv7qRFO1gdpJH61IimKFE3bXZQCw5AppEt6FVssuwgEZI3dM+lU2dWLBSMjqD3NXbnYA2PuLnAz1qgzqU82Qquxcbh0Ht7mspSVzSK0Kt48kECxxfPNcnYAeqofvNWlp9hFbW8cUanCDAY9SKhs7YySi6mGHcfID2X0rUBAQqBjA69qUUmOTGK4ByMDHQtVSUS4IR9y5z83FWZpkhQMzqB2BrBvNZUIzRLNOqnDeSuSD7CktwSuXfKLyljJuXpg1rWjtH8uMA9weTXK2eqCWSNBBNHI4+XzO31rdguApAYkHvTsxvY2lkOAgU57c8mrKt5aZcDcf4RVCGRQmc4z3NTJE8+edkZ79z9K0ijJ2JxO0jMkI57tngVMkaRgtIS7H+JjnP4URQrGoCcL7d6a42IXzj3PIrVKxm9dCRnDZwMA1A+7d94EkcY6GhZw2QEKkfkaJZY4497sipjPPAqHruUlYjldURsAyDgfKvNOiCi3kMquVzw4OdvtioYZ2uFJSN4U6K7jBf1IHpVOS71SO5U2EUb24+RjnBPv704PW4pLSxZESiXzCEZSMOcfqah1WxEsEdzbyRzi3yS6t8yipNQ0t9W08xu0kbSNmQxnZIf6YptraLp1lFamRZvLGzzAOH+vvWivTfMS0pq19SpbamsiLHM3luDxJ1H0NXxPsYI+VbOVZOcH1FOutNjvbJIozHbuh+VgucjuDWS9hqNnMUCMU24DqeMVrGUZbGTTTOqtL7zcJKRv7MOjVerz+Kae2IHzISeCehrpNO1sOwguQUk7E1aZLj2NyikBzgg5FLTJCiiigAooooAKKKKACiiigAooooAKKKKACiiigAooooAKKKKACiiigAooooAKKKKACiiigAooooAKKKKACiiigAooooAKKKKACiiigAooooAKKKKACiiigAooooAKKKKACiiigAooooAKKKKACiiigAooooAKKKKACiiigAooooAKKKKACiiigAooooAKKKKACiiigAooooAKKKKACiiigAooooAKKKKACiiigAooooAKKKKACiiigAooooAqai2LQ+5xVHG22iHfGfzqzqhykSf3mqlcNiULngDFRNmlNE8Z4B7iknIA5498ZqOJ8D69KLj7uBmsuhpbUgaYBeCcfzqtJIJlJjcow43EZ5pWYF8Mw+o6UwuTgcge9ZNmqViMSbvLBHzLwSRyTSDKsIlULzuGDyT60kgfe0owpX37VA0schIHHHTPT3qLrYqzLQfbeI0pBKLgknjFQeftlkKfMD90k1Xe5DL5cShn7M3GKrI8rqVcEMp+T/a9qiUtdClDTUsvMzxsqrngj5uKrR2TSSJJdMrBDwidB7/Wp7eVLiVoo1zcxjMkbHoKWVRBG28hQeoJxWT7s0XZFr7QgJ2jI7nPFVJ74Ro0kkihE5bA7f41kXmsx24I8yFQBgMT/SuTv/ELXMpS3JdApUueOf8ACkpOWiHyW3Ny91tp51naNXtSCRGxwWHY+1c417Pczl2mdQeQIzgAdqkjhuJkjWSVmBHzZ4GPT6VpWWmS7vMZPlJ+X5cA+wrWIbEumzvbhCmTI3DbzwF9zXR2Rk35Zhj09qyYNGuIZAY4nEZbLF+ldBFZ5ObeWN1GFYNwVPsO9aR1Ik0jThcNMsRB2py2a24s4yV7c1zsKDT7ps3YuFlOCdvKkVrpNK4BbKIeMH7xrXYweuxcMyrwDz6CqksIlu1uVMh2oVCE/J9cVKPNRAkYjxnILDP401rOWcjzryQKf4UGAaV7iWhDuIYpGwMh4yeiU9LVA4lYGSQd3/oKZ5KWMcKqrJG7EMTzz25qyWZRlucd/apasVdvUVtr5Vn+hquY283cqhPoeMVK0YPz7u35VFPI+07FDZHIqJLuOPkHmmWJkYgSAnIznPpWfeyzQXFpKsW+HcY5to+5nox9qtqgch2AUr0IPX2qVkEqlGd0DLtKqeo9zRe610H8L0J7dkdeG+hqYb0ULuPHSsby7nTvmhzNbKOUI+dP8RV6C4jvIlKuHRuQQehqk7aMmUb6odcRJMjRzKCGGDxyPcVhy29zZkQyy7jjKs3IYe3vXQ8ITuYc/wCeaZNFHcwsrp8uMAnqPpWkJNaMza6oo6Zq0lriKY7k7e1dJDMk8YeNgymubfQ7ZhlJJUb/AGjmmxi80c7z+8h/vqc/mK2jMzlBdDqqKqWd/DeIChAbH3c1brUyCiiigAooooAKKKKACiiigAooooAKKKKACiiigAooooAKKKKACiiigAooooAKKKKACiiigAooooAKKKKACiiigAooooAKKKKACiiigAooooAKKKKACiiigAooooAKKKKACiiigAooooAKKKKACiiigAooooAKKKKACiiigAooooAKKKKACiiigAooooAKKKKACiiigAooooAKKKKACiiigAooooAKKKKACiiigAooooAKKKKACiiigDO1D5riBT0GWrMuJMk9Bk1pXo3zk5+5FmspwxZTjgg81lUNqexPExyD6ip5/uZ/GqUTfJk5q2GDxjjp0rPpY0e5luuTtHOTkdsVGchjlsn3qzONrsAQM9arlTg4wfSsLamtyC4iNzAYxO0WWBLAZJA7UkkSqQIYyecbR2HrU+5gVwv3jipEQBiVGSvv3o5UwuZ7hjyF5Bxk8VN9k3gBSdwOR9atR2BRW+ZmdmLEsfXtU4iKqQwweoH+NCVlqJs4zxNbT214k6q6QyLgzITw3oawfs2p3ZzG1xcDoOSRz716kwR8oyBs8srDINQsqAFIwFXHAUYH0rCVK7vc3jVsrNHC6Z4GiErT6y/nYGPs6twCe5Pr7Vtr4b0aNYVi02IBBtDEnn6+tbJXdnaTsH3VprKkLfOSPQ5qrWWrJ5rsqR2FlaA7YE3H7zsM8CrK4uNvlxfu1BxuGMe4HalgiF1IJWU+UvRf7x9aviBfLyvQnnnmqim9SZNLQqRWvzDzGcjtz1q4iIhyI0yASOB1pD8iHk9f4RTW2kqH3DdwAO3vWi0JepNYSNJAxmKmNzlRs5X8asvCBwoOccHOazLK8eaHy3U+bC5R1xgN6Ee1asDlwEO0Ed/6VSd9GQ1bUlhAKA4PTrUu0nGDjHb1qL5lkHBwD27Z71NuVh1B/wAatGbIptrJiTBRuuex7ViRX8ZeQfMoVtrE/wBK3XAPJwT0IPesOfQi0rNHclY2z8rjODSeuhcWluTm9iUAEttJ9OTT9rOd7Dy0xgIapaMcxsJfvxsUyewrW2Ltznd6j1rJpmmiIUiXBAOePSmRxsBiTG/29KtjGQMYBFOMSlcEcHv60ctxc1iKJ8ON4PHQiudv430XVJJVJS1k+eIL0dj1UD1zXUeX6EYI6elUtR077dAgVQZ4G3w7ume4q0tLMnmXNcqWtw0xBlGyQYJiJ5T6+prRVyzckY7ZrnCCSHKSKMleeGUjrVqPU0SQQyuAT0P+NItq5uF9p4HA6809XGPYjkev1qkkwYDJ57Eng1YTnkcU0ZtFaawaCXz7IlF6mMdvpV+x1TzAI5+G7N60oyPb0NQzWyy/MMLJ+hraMzKUTZzmism2u5LZvLnB29AfStVWDqGU5B71sncyasLRRRTEFFFFABRRRQAUUUUAFFFFABRRRQAUUUUAFFFFABRRRQAUUUUAFFFFABRRRQAUUUUAFFFFABRRRQAUUUUAFFFFABRRRQAUUUUAFFFFABRRRQAUUUUAFFFFABRRRQAUUUUAFFFFABRRRQAUUUUAFFFFABRRRQAUUUUAFFFFABRRRQAUUUUAFFFFABRRRQAUUUUAFFFFABRRRQAUUUUAFFFFABRRRQAUUUUAFFFFABRRRQBRmUNdSrkZaHgfjWTKhwyKQGIyD71pyuF1mJT0eMj8aqXKbZDx0yPrWVRGtNlHgYkyQMYKj19as28gIzVeRcYBPU4wP4vam2xMTbD0JO0+tZM2Jbhf4tmc8Zz0qArxgHJ6VbblcHp7GoRgEBsMB0AFZvcq+hGkWcsSSM4HrU8KiMEjBYnr6U1SVG7371INqKfn5Y8Bu9K9h7joyoyeckk//XpHO/iPll7USFo8KGUAjAPvUZ3fL9z6jgk+tK7BIryStkbTg+mOR61G7q+d2CBzhetSTRudzqeR945xj6VVYfO2DmU4yF4IHvUNNFIdIyBkCbiWX0xUMga4kEcbZ6A8cj1FKw8tSJJCZCOX9Fp2ltmKS7wsbO2EDH7qj/Gp+KVi9lc1ljKFQgwgAwBzmqx3JJI6kLuwH5zz/SnpcuwIZSkjdEPT60+RQ53Ljkdx1rXfYy1Q0kH15z0pU3rGFyXIxlyMZqFCySR4ZQhJBXGST2xVjOcencH1qg1KkbiHWmVsj7XHlHPQMOoxWpCQoAXPrk96y9QtTNHFICwET5Yp94D1FOsZijmGWRHLDdHIp4dfXHY0LQHZm2cSDB/1hGCR3FNDYynQimI2cYALfyqGS5DzbbVRO6nDuThIx359ablchItF9oyxwPemjc+cHaPUikVFVt7MZH7Men5VJu9TgY5oGUk0yGBpGiLKznJYnIJqlLd3Fk4F1AyJ/BNH8yH61tjaeeo657UoTKlCMxtwwbkUWuLmsZceoJ/y0GU6h1/wrQE0IQMZ02kZHPNY0ln5Ae3YeXcBvkYj5GXtiqql42YHHBwcDg0+VxHpLY6Ykdcgg8gjvTgM9DWJDqUsaiMCMqDwCOtXIdThL4aNo1Pc84p3JcWh+oacl4A4kaKdfuyLyB9RWS2kwW8M5Zj9p27gpPB9/pXRqVdQQwZT0IqKWFJR5cqhlB4z1FPzEm1ocpDI9uBg7oTzs7r/APWrVguBgMrZUjqabfae8CtKFLDOSw7fhWaJPs7g4Plueo7e9S42NE+Y6KKcYHT61ZVgw4rEWTB5HHfFWY5yCCDRsS4mkcMMOAwp1uxtztByn93vVaO4V1+Yd6l3e4OO9Wp2IlA00dXGVNOrMWVo3yDVyK5V+G4NbRmmYyg0T0UUVZIUUUUAFFFFABRRRQAUUUUAFFFFABRRRQAUUUUAFFFFABRRRQAUUUUAFFFFABRRRQAUUUUAFFFFABRRRQAUUUUAFFFFABRRRQAUUUUAFFFFABRRRQAUUUUAFFFFABRRRQAUUUUAFFFFABRRRQAUUUUAFFFFABRRRQAUUUUAFFFFABRRRQAUUUUAFFFFABRRRQAUUUUAFFFFABRRRQAUUUUAFFFFABRRRQAUUUUAYuru0N5BKuMqMjPtUs5FxGsoypdM49DTddjJhikA5U9agsHzFJCTkKdyg9h3qJq6Li7aleRd6bccjkH0NQv8gL5wSMirdyu2QOvCt29aryJHKrq6FkZdpAPP1Fc7Z0IVZVZcjHPIpjM3AIx71GUWKKNF4VOAT1GPWkL8AnPzdT/Sp3KLCfOCT0Hc0yRWdNxZUdTySM7l9BUW9gcDIA7H+VPEnmBicFcYX2NS0NMcPLY+WqfMw/1ueF+lJGUSVgXLsgAc+nuaJYt22MAiQHc+OBj2pjKeu3DM2WHc+lTrcelh0zRInmvn5MlT6f41EU+deSABxkdQakUKnmPneznow6U4qzL8x24XGT2ptX3BMyNSnP2GWEIFMjCFdvLHJq6Yoo4xEyERxbUXn7xXuaptG8uoRRkBfIPnSMP4ieBV2Vc+WQdvB684NZx6suXRCQ3ErX86vGPIUAxylsl27jHYVdUNIrgAKoIIcHk+orNlkVAjZ3PwGCjqferChT8spVnjbejdMN7+tUtCdyyAVcgnrzmmtKI0eWT5Y15Jz196zrrxBbRhrKNHurtONsC7gp9zVGxvBq2pSxXcqNNaAEWmMAZ7n1qHNLRFqm7XaN6KRrsr5YaO2zne33pPp7VN/Z9mGkkij8pmGDIh5H4dqSNMKuZC6jjjjHpirKqMjJy2ME9zWid1YzehQntdU+zvFb6hAVYYG9drEemansrmG1gjtZI2t2Rfmjfpnuc96tpHkccjPQinSwpOgVlUsvTcP0qkugmxwnVCFcgZ6HtUhbcRgDms9rlIGEcse6InDDOdh/wq3HIgUsHDx9j3H1quXlZCs+haUADAGB0qQDBGaiV8qGXBB9DTwQ1WmQ0JcQRXUJhmXch/Me4rPttGRbhhNNmPGEjHcepPrWiSfrQRkYPTrxV3Js7aFC40FNuY5unIVxxVCW3eA7J48HjlTmt/zpQY1G0gthmPpU7xKzZ2jcBwSOlXyxkTzSjuc1BNJbN8jZXuueDWhHepINp69cGpptJifPlttYnOTWZeWcloCZFLx9pUHT2NZyptao0jUjLc1lIZcAgj3/lWbfaUjxl4FAUZLx/4f4VBbXzQPtdt0Z6MOa1o5Q/zA8HvWcZrqU4tbHLRzG3by5PudAW6j2NXlYHkc5/Stea1glk3ywRuxGDkdRVZtLgOfs7mFv7p5WtPZp7MTqdyur/KOc1Yjlyo55FU5oZbd9k6FGPRh0b6GljdsLk8juKhxtuaKzRphgxwSKOVPGcelVo5NwFTK5xzyPWknYlouQ3LKMHnHariSq4GDzWWnzDjr6U9WZPUVrGoZSgmatFVIrk5weRVlXDjg1smmZNNDqKKKYgooooAKKKKACiiigAooooAKKKKACiiigAooooAKKKKACiiigAooooAKKKKACiiigAooooAKKKKACiiigAooooAKKKKACiiigAooooAKKKKACiiigAooooAKKKKACiiigAooooAKKKKACiiigAooooAKKKKACiiigAooooAKKKKACiiigAooooAKKKKACiiigAooooAKKKKACiiigAooooAKKKKAILuD7RbMnfqPrXONObOaOXaSBwwrqj0rE1e0481RhSfToaTGhLrYyDZ91/mUn0qk+5GDY4HBPr9KsaYhew+zy71dXOA/b0x7VSuIpIpXGSCDzjsa55xtqbwfQJfnQ/KWPTI61WAZyCCc+hquLqRpZIhIxkQBumBg9qVrh8hxJnK8+5rOxqWopUkkZVYbl+92waeeCeBnpgdzUNpd/abqG2mQLJIdqyDsfQ/WtM6VdMeYotwOcZ/lRZibSepXimBAy2e2RTXfJKgjIPzD0qR7d48mSCSLbnLbdwJ/CmFACoMqbCvyqDk5+vpQvMNCFbnF4LbymbKbjJ0APpU/mq0fHAxllpisVi/eIhA6e/41BIxkQYBAY4zjt7Gpb0Ksh1sBhpZOC7FjjqPQVXNuyFipKyTvubPOfp6GrjbE2q3KHjPv71XuzMVIilbzG+VFX1+vapsrFdSKWKOJzJI4jR12mNeXY/41BLZXGo+XHeO1vaAfu7eM/O/+83arFlaC0O2U75j/rJCOnsParm4AgltxUY/wrCTuapWY22t4oIFt7eBLeNfuqo5b/ePesTxJo89w41OxZl1azTK7ePNj6lT6n0rpEUqvLAt1b1zT42Evykgup529aNWJO2qOY0TxTb61bhJ2NvcL1PTn3Haums5GVdryK46hx6VXudC0+/YtLaKk2c+ZH8rD3461kxyvo4kF6zZV9obOeO2B/Wmk4O72G+We251qgMxcHnG3dntUwXhQR9DWbaz71GeD1yK0Elwgz09RXVFpnNJWK17p5nBeFgs3QE9D9ax1WWC4+YlJF4Mfb8a6bIYZFUr2zS8BEhKv0V14IqnqhRlZlSJ/s7+YmTE/UZ+4avRzK3fkVjsZ7OVYbnJRuCw6GpxeW6MIpFkR1HysedwpWG7M2RKR96nnJ5FZ8cwcAq4cY+hqdJSvIORTJsWMcEHn1FPWcxKA+Sn97uv1qNZFfjNOIH41SbWxDV9yySCM549qYTjJB+veoVdozjrH3A7fSps8Ag5B6Gt4y5jJxsZt3pUNwC0R8mQ88D5D9R2rMRp7GfyLhChP3T2P0NdEeagniSeIxyIHQ/wn+npUTpKWpcKjjo9ivDdbxsJ57e9S8P9fSs+WykiG6B2kQfwn7y/406C68z/AHl+8tY+9B2ZtZSV0XgVdDBOAyN0z0P+FZl1ZtaOCMvA33WPUexq6ZcqPm4JpJYvtcPlecY2BzjqCatzT0kQouLuiirDqTzipknAGevPIFMaxuUzlA3oVOc/hVZnaEhXRo27A96ysza6exrLcRMu5FJz1B60x5/m4FZ0U5SUnoGHI9Ke03zrGOXb7oFRdhyovCfkc1NFe88n8qoLBlhvkL+w4U+1WYnI/hVPYVcZNEyimakVzuHzgj3qwCDyORWUsrfj3qeKbGCp2+o7GuiNRPQ55Qa1RfoqKOZXO08N6Gpa1MwooooAKKKKACiiigAooooAKKKKACiiigAooooAKKKKACiiigAooooAKKKKACiiigAooooAKKKKACiiigAooooAKKKKACiiigAooooAKKKKACiiigAooooAKKKKACiiigAooooAKKKKACiiigAooooAKKKKACiiigAooooAKKKKACiiigAooooAKKKKACiiigAooooAKKKKACiiigAooooAD0qtOylGR1DKwwQasHpVWdSc0DRlhJoH/ct58I6xMfmUeqmpL6JLi2aVWxJGOc8ErUVwpU5GRjkEdqSO9xxMAcd8ZBrJtPRmluqMO5iz869enB5xVD94oVCM7T6dRXQXaW4PmOjIp+7ND8yn2I7VkzQhTlXWRM5Doe/pisJRsbxlcZZHzdTs2BIPnDJFd87fMcqCK89VWhfzYwwdHDgdCpFd3b3KXVvHcx4ZJFByD0Pf8a1o7NGVZaplhOh2sSPQnpTBBbiQsIUVyOeMZoYhlJzkj8DTDISoz8w6itbIxIJdGtHJMa7Gznbn5aS/IXTJo0iCsq4AA4A9RTxcberEjsG7Uks+WjJPy5xkcqR6GpcE9ENSe5zwTeNgIw3BPrT7eFYWZlJJPGSOlXdQtlgud0cYELgEEdj3qowkU5D7hXHNWdjsi+bUfIUf5GTnIAp3k7DkqHUjkjgimqNxP97jOe9WYm/v9P51jvua7IiZdoBVT8/X1qW3hWOIBVAUNkHufrT2gOA0ZwFPTNCtx8xxkYxjrVxjbczk7omUqX3fxd/eq97ptrqSYnTDgfJKB8y/4inqxBBOMdPc1OpLcHkdMVe5OxzqRy2cy2t1vLqcwyqcKwrXhnz1bv8AdNWZreOeBoZk3oe3cfQ9qwbhZ9FKlibmybhZJPvxn+6T6URVinLm3N/eUIKtxUqyLLwcZx0rEtNVhlfyw3lv2WTv9K0hIGPcH3FWmQ0WZIkkjaKVA6MMYYVgXtg8CgyZMacK3dfTNb8cm5cNTmRWQqw3xsMFT3FUidjlY7hmZsnbMn3j6+hHtW5bOlzGpSRY7gD5kboxrK1LTXs5kkhOUB/dsf4f9lvY0yF0mXeAQQcMp6ofQ0dSmk1obhZ432OpR+2ehqxHMG479xWPHeOqbJ/30XoTyv0NWYp42OY3JA6Z4YUN2FY1Mg9KRXMR7mMnkenvUEU4J+bipt2f8aalbUlxJWzjggg9D60w59aZG/lna33D0P8AdNEhwcVvGSkjFpojkyGyp59qpTxLO/mIRHcL3HAb2NWi3PFRuu7r1oaurMabWqKsEpfKONrg8r/hUxUMMZYY9Kq3jNbNHOPmVjsYDv71YjuImTd1X+93FcsvdfKzpWquiRLoxDLDdjow605gLyJg2GOMhu4PtUQWOU74jvX+8OtBOz5lbkfxf0qU29UDRUGnTscs8aH1HJpgxbsyHl84Zu5/wq8bzgiUf8CA4FRSwpcjejAOB1HetUlJabk3cdyMTccn9Kd5uejc9aqkvGxVlIx6igSY71Diyk0X45cirMZI5UZHpWbHMAetWY58HmktAaNIHeozkEfpUsd0yHbL+dU0l55P0NSF9x2svat4zsYSgaasGAKnIpazEaSL5ozle655q5DcpKOuD6VsncyaaJ6KKKYgooooAKKKKACiiigAooooAKKKKACiiigAooooAKKKKACiiigAooooAKKKKACiiigAooooAKKKKACiiigAooooAKKKKACiiigAooooAKKKKACiiigAooooAKKKKACiiigAooooAKKKKACiiigAooooAKKKKACiiigAooooAKKKKACiiigAooooAKKKKACiiigAooooAKKKKACo3XIqSigDPuLfd2rInt3Qkjr6e1dKy5qrNbhgeKhxuXGVjmMGPcUYxk/eH8J/CqFxENxIUKf9npXRXNmCCQKyZrZl9celYyibxkjILSI4YPuHv1NXNN1iTTZ2YAvbuf3sR6j/AGl96ZLbhieMGqsls3rn61lrF3RppJWZ3VvqENzCJYHEsR/iXqPqPWp8q43BsE9x/hXnCLLBJ5kTPE/co2Kvwa3qdv8A8tUl9pFxmtVW7oxdB/ZZ27qpGHUYPcdP/rU3yIznJbnjj/CsO18TwtxcQvAenHzKa14rqO4QtbSxyH03cH29q1U09mZOEovUmkiWe2MbMNycBjwM+9YtxG0Mgjddh6cdq2VfeGjaJ4pSMkHkfXNPYCVCso3A9KirC7KpzsYK5DneDgcCrES8knnv70s0CYZoJCVHVHGCKi3SxRqUCoSc5bkYrmdNp3Z0qomaKRhkwehFNaEgZU5+tMS4DDcjBl/2TmpRKHxk4quVW1IuyEp3znsCKX5hnJyPUU5wQ25funtTAecDj8amw7kofIAY5HrUc0aSI0ciK8bjDKejD/Gm7sE4/WnAhsKRx3oY0cbqVhJpVysZy9pIcRTN1Q/3W/oatWepzWq4mYywj1+8v+NdLeWkV3byQTLvicYYd/qPeuKmtZ7K8NtcvkL80Z/vr2+povYtao6+3u0ljEkbhkPQj+taEM4bgmuKgneB98JIJ6r2atuzv1mXK8EfeX0+lXexDib7qjqySKGVuDXOX9idNnNwEeSHGPlP3h6H3HY1uQThlAJ+lWBtdSpwQeoIyCKvRmeqOZkaNirQ8IRnPrSE4wRkMOh9KvTaSYGJtSPIYkmJuqH2Pp7VAYCmAysp96FqVclgmZwchiyjLbRnj1q7DOD3z3+tV7RmtZS46EYYetPnEQfzIDhTyU/umhxBPU0Bz3yKYSQMDp6Go7eTfGB7ZqV3Cdep6cVKdhNEbjb8xKAeneoyAfxGaXYAxZvmPrT4lRlWPnfk9e9aU5tuzJnBLVFK8jkktv3YyysCV9R7VmZXYSrMhz0bvXQPEQSRxj3qtLaxztl15/vDj86dSnzahTqcuhjx3YtpUU5QSZ6dMjvWoCTjKHkAhgOMVDNawW53mN53PC/7I78VIny4ZGYD+4T0rlknB2RupKSuH2SeVicKo9SetTmzxAFjbEq9x3piXAD4bIHQ1ZTB5HynpWkZdSJK5QFwykrIu4A4qRZInGQqD8KtXVmLj51wkw6Hs31rKI2SGJ1KuOqmulaoxLZghbOY+v8AdNRGApyh3L6GmLIyE7Tke5qdJVk4BwRScU9xqTQ2Nweh/A1aRyeO1U7gAFWGMng8VJFMQMD86wkrM1XvK5b8zpjg5p5IY7sc+o61VSQyZAxkdyeBRu2MBk57sKam0S4pmjDdsh2vyPXvV5HWRdynIrEEm8EEZ9Ce9SRzSRHIzxyRW0al9zGUOxs0VWgu0lwDhWqzWtzMKKKKACiiigAooooAKKKKACiiigAooooAKKKKACiiigAooooAKKKKACiiigAooooAKKKKACiiigAooooAKKKKACiiigAooooAKKKKACiiigAooooAKKKKACiiigAooooAKKKKACiiigAooooAKKKKACiiigAooooAKKKKACiiigAooooAKKKKACiiigAooooAKKKKACiiigAppGadRQBA8QPaqU9oGzxWmRTSgI6UmhpnPT2AOSBWfJZOgOBXWtCp7VXktFPaocEaKZyLW+P4cH2qFrfnpmuol08HOBVCaxKjAFZOmaKZheTg9cH3oWNo23KCjA53IcVpyW7An5artFj1qeWxfNcmttavrcAMwnQHo/DfnWlFr1vJgPuhfuGGV/OsMpjrURTjAPHoaFKSJcEzrZUW5jMsDBtwwwBzx7VSu40kCov8C4Unrj0rAgnntJd8EpjbOcfwt9RWxHq0N9H5MkgsrokbHblCfrVcykTyuJUWN0mChmib+8v+HerSai0bmO5C5H8ajg/h2p8qzRyhLiIJKOVYHhvcH+lWStpqEYW4QBsf61BT5VYXNZixzq4yrgg91OaVs7NyYY9qwr23fTr0wGQRlvmiYfdZf6Gp4dT2TmKbJjH3ZSMfgRWcomifU1VOT6etKSVwQaRXEqAcEdiKVgFX5u/SoaKH7sEc5Jqrf2Nvf24jnU4U5V1+9GfUf4U9nxhcE0IxLdfy6f8A66llI5O5hnsZhFdHk8pIPuyD1z2+lOhlIdZI22kHhhXUyOpUjAZD1BGRXMXW1L+cRqqISMBRxU85aVzbtLwsobhSD8y9q2oJhIqkfpXLW7bGUjoRgituymETgH7p/Q1qmZyRqyYAOOT/ADpjK6AKFDrjkN2+hp4cNIVwMnvUcpOT85wPQVfmjH1MwsvmOI88HGD2pP4gQaffMkUyTDALcOD3pocEnIzxVp3RRJFL5WVzxnrViOY85xgjgnvVUKGU7efr1FKC2ctngYFZNF6Mu5yg4qu8uGyAWZSGwvU49KSN2eTaCc4xntV6JFjUKAM98UhOyQfbrRlDyZj3dpBg1G13p2eZ1p9xbx3cDRyDhuhxyD61zc1u9vKYZUAcd8cN7ituefczjCLNi6ktZQht7qMFDkqTj8qqCSPvLGfUlsVmFF/uiq8iLg5Ws5Lmd2aRVtDdPUZ2fN0wwOackjxHHOPRhiuYjt/Mk3KSFU8HJ61o/wBoXsaBROGxwPMXNZuLWxR0UN0r8fpmpLi3ju4tkg3Afdb+JT9a5uLV2YhZYACPvGPqPfFbdtdKyhg29G+6wNXCbRE4FGW1kt3Kycg/dcdD/hTeQRgVt7kkjKsAynqKozaftBaFsr/dPat1NMys0VHbcgVvwPenJESpIYHtxS7dpwwIPfNQyIAweNtrDo3pScb7FRdi588a7SMKR0HeiPaPlx+NV47/AOUJMPm/vDoaf5qZwSRn1/xrJ6blrUtYYv147GlbeiFs9BkkelNifcOcGpwy4z155Pai4mirFMsoyjAj2q9BfGMBZPmX9RVVo+6AFfQDGKjz2x0reL0MpI30kWRQyEFT3p9c/HNLA++I89wehrVtL+K6UYO1/wC6atMhxtqW6KSlqiQooooAKKKKACiiigAooooAKKKKACiiigAooooAKKKKACiiigAooooAKKKKACiiigAooooAKKKKACiiigAooooAKKKKACiiigAooooAKKKKACiiigAooooAKKKKACiiigAooooAKKKKACiiigAooooAKKKKACiiigAooooAKKKKACiiigAooooAKKKKACiiigAooooAKKKKACkwKWigBhQGoXgBHQVZpMUrAZstkpPSqM1j7Vvlcmo2iBqXEtSsctLaFc/LiqkkBHUV1ktqGB4qhPYA5wKhwNFM5p42BxjioHjDDBAI7g9DW3NZle1UZIMZ4rJxNVJENtqF1ZR+Uyi6tc8wSHp/untWnZtbXLl9OnKy/wAdrPw34etZJjIJONvtmo3jDEFh8y8qy8FfoaFJoUoJm1rD/aLQrNGFlU4QEfpWPhlQyK4dRhWzyQff2q2mosyeVqCtPHjAnj4kT6juBVFhtlEsLhwDgOBjI9xVppktNGhpbytM0cAEg27vL3dR6qf6VrpMJU3D7p7Ed65a2byJmlVnSMgj5Wwwz1we1bVnInkeWjuyL90t1qJxsVF3ZoOu3k5PoahK4BDnG77oHarCy7kXAAyBxVeaPjGep+bPpXPJmsUM8wRxlVIZfQdQa5kO0sjyMQsjsflNbt283lmO0UvLuAB/uj1pdP0xLMMWPmzOxZnfn8F9KmKuy72VzKjik3qyHGDyD3rYixIMqCcfpUt1aCZfNjBEq8jbwW9qqRTtH+8jwQfvIRWiRFzVjm2Nk5LYwTnrTvNeQ7EOTVCCVbp9sTjf1YHqBWhCyQDC/Mfeq30J2LQs4zEBIgcnu3NV7u0OBPEu4YwyD+YqeK4zgMep6+lSxyFXKngHp7VrGyMm3uY6uSM5GDTw8hAAz+VaE9gjMZYhtJ6r2NTRafDtBLM1aKN9yXNIqIVXHqO1TB1z6cd6ttZQN/Bg+o60xdPgGc7m+rVPsmHtUyISL60T20N3DsmXOPusOq/Sku4o7WHzEBLZxtz1qG3vI2YITtc87WpWcXqHxaoyr3TpbTl/3kfaRRjH1FZkwIHGfbFdpuBBBGVPUEVkXWiI8oltX245MTfdP0Pah2KjJ9TF8vy41TrjrTCmf5VdltbiIO0kLrg8sORVfBIB4x2qGjRMgZPm3D746H19qXT7poLksM+XIwDxn+E+op79cfyqN4tzZVwr9jSsO50yMF4bjNOlkj2FJMbTxtHGaz7TUYp4/LuGEUw4ORwferKeXdvuibeq8BiOpqLtbCtrqSSWwnRBl/l+7tPT/Gs+8W4strSqtzbscb8bXT61riPZja2KcWBDB1DAjBz0Naxl3It2OcE1pKMCVoj/AHZB/WnoJUX920cyH+ENk/hUt5oyFma0xtxnyWPf2NYRto3kG1ypHUZwc1Tn3HGKex09uuY9wzkHlDwRVgYBPY965hZbuFhtlcED7rHINaEOqwlALlWifoGHKms36FNM2Wdc4dgvYD1p0aCZSdoAB4xWa19Z+XyxnORwoxViHUI2ZUUOhPTI6VUHZkSV0SyRFG9qoOWguCckBuQRV77fbSk7JYyM7fQ5qKZEnBRSBIOinvWjZEdNy1aawEZI7rgHgSe/oa2QQQCDkVyJXKtGwx6qe1W9Iv3tphbTPuhY4RieVNOFS+jJnT6o6SiiitjIKKKKACiiigAooooAKKKKACiiigAooooAKKKKACiiigAooooAKKKKACiiigAooooAKKKKACiiigAooooAKKKKACiiigAooooAKKKKACiiigAooooAKKKKACiiigAooooAKKKKACiiigAooooAKKKKACiiigAooooAKKKKACiiigAooooAKKKKACiiigAooooAKKKKACiiigAooooAKTFLRQAmBTDGDUlFAFKe2DCsm5sjk4FdERmoZYQ3apcblxlY5CW2I7fjVVosdfzrqp7QNngVmzWWM4FYygbRmjE24OaaYQWyOG65FXpLcqelQFMdaixpcrGMlWGBkj8D9Km01vJnClzsY9x9008DHtRJB5oBVtsg5Vv8aq91ZktWd0aqO4kaN0wRnkd6a7qxCqcsxAApv2hpEQdGXrg9DT7UK1/ESfX8PesJI0T6loWwibbG2CBkkdz700RkHnP41aDKx7Zzx71J5YOdwyfWhRJcu5V6EEcEdKyNQsZ43e6sec8yQ+vuvv7VtvEynpnHeoWXH4c5FGwJmBpl5DNcOX/dyhcZAwa0ftDhuUzj+IDOfrSTWqtJLPAiJcSDazMPlb6+lVXaWGJfsyyPLGSJkB4Ydtp74o+ZVzTjlL4by3I9VUkVbhlEo8tiQw+7uGDWba6zIkeyBgrf3HXjNTHV55TskCBxzgrjH0rVcvczalfY17efepB+8Dgj+tShih+U4P6GsmGZpJd8WNxGCp7etXreXzQwPDKentVKXQhxLEtxMo+SIH3JqjLd3OdsjbCegAq58oyWJPtUFxEZ4wAQMHOTVOT6kqKRnu52lsknPXOapzHdgkDOauy28icsvy9iOQarlQpG5Tgcj3qTRFvT7uSQtG/JTo2eorRLfKcYI9R61z0UskE3nJ1PUH+IelakV9BLhQWV242EVD0G0WUL55JI75/wrGvrRraRmA/cM2VZRnGe1bygYGKQ4wcgbe4NNaLUm+uhy2zdz37Yprpgbtu4DsetbNxp0nmu0CLtPIUnBH0qkIsNjaQ3Q5FNopSM10LruQgkdOK1bPVY4oFEsTAqMbkHT8Ki+zY4IypHBqFbOaF8IN4bpu4NTy6lOSasaj6tbF9oeQ57heBVlC5GWxjFYRQksNp44Iq3baj5EflzxtJGBwV+8Pb3pSiI0BErS7ffk1HNptk5bNopc9eSDT4n/c70+4/K0qyhiA5OR0PrRGyQndnPajAmnzxwxSs6SgkJJ1X8apjLFgp5A5SuqurSC7jMdzEsidj3H0NZ93ptrFpn7hPKeD5lOfmI9CaTWuhSlpqZMUXyAjPqQPWp7OSUsrMTjd3qON8ICeRnkjrVu3MagrwMHpSTuVLQpTWdykkjpErKzZwpwalh1NciC8Z43HCuV5FbJAJHHXnIFRTQRzrtljDjtntW/NcxtYhhnafME5BnXmNx/GKhmHGB1H6Uya0FpskhO0RkYHtU2oEOnmIPvYz61nLR3LR1OnT/AGixjc/exg/UVarK0HIsSD0DVq11Rd0mcslaTCiiiqJCiiigAooooAKKKKACiiigAooooAKKKKACiiigAooooAKKKKACiiigAooooAKKKKACiiigAooooAKKKKACiiigAooooAKKKKACiiigAooooAKKKKACiiigAooooAKKKKACiiigAooooAKKKKACiiigAooooAKKKKACiiigAooooAKKKKACiiigAooooAKKKKACiiigAooooAKKKKACiiigAooooAYyA1WkgBFXKQiiw07GPNaZqhNZcnFdG0YNV5LcHtWbiWpnLSWzJ24zUfQ5NdDLaA54rOnssDgVm4tGqkmUc89cH2pIpntbhZcEquc49O9OeJkPSmZwfaosWXjeLsDKRhuh/wA9Kj/tWVWwFBHoT1qpIqurYQDd1UHiqxzGQOVB6E9/pTjFXE2dDa6nHPgb8N3R+CKsSKjtlgSuOgNcxuDqVYZ7cdRWjpmoBV+ySCRmBwrAZ4PrSnHS6EmXZUZgBCASTx7UqqI12gYI6mnRybr7aB8qqST71baMPkcYxn6VhFdTWT6HNatbtbKbiL5ocjfH3XPcVm/a5GGHPyjv/EtdaYPNJxxnjPWuPvUxe3EhjPD4JHSh3Kg09C5Z30gnjy5dQ331XkfUV00ciSbXLBWxnev9a4uO5kSRZOMKf4epHpVubV1c7EL28LH55FG4/wDfNCn3CUL7HZRSeYoY45+6ynINTdePXvWLZ3DrEigxywgYEsJ+U/UdjV+K5LOccjpg9a1jJGLjYtNwpwSAOuaql7dU2hNzN1Iq2rBk+Uce9VnsUf8A1bGPPY8itU7amenUY1hbykFSQO+DRHYJExKy4OepGajtCyy4OducVfZQSen0NaWT1sS207XEK4GUNJG24B2BB9PSgZA9aPlyT0J61EoLoNS7khyT/KqN0jiVpGGQe4H86slzGcn7vrTzIAm7kj25qdh+hnbwY/x4NP8AkGXP3F6n3qW5t4pJFdSF7tj/AD1rPmkcsN6kRr9xR/M+9O49x2wZyeGY5IqpInzN6g9RU4kLNwcn+VQEfOw561MmWkxLa9ns2KRlWjPIVx0PtUyagZ51jkiWJ25Dhvl+mKpMpEuCMYqN13ELxtH86ztoXodGpd1Xan1BPH51l6leI0Itrdy7E/viOmPQGs7dIFMfmSBOpQNxSbBtG04GenpS5gUNbj0DCNtgAPGQauwhAobHGOKpeawA8sAnkGmFsxAB357Y4FQnZlyVzXV0LMyHcB1GelNMpxkZz/easaKdYJg+5ifSnyXkk/GSB2xV+0sQ4al6aRSvzsOvY0nMpUvwoPC/41XjUBgX5J+6netSytjNOikdT+lOKctyZNRRuaXEYrFM9WO41dpFUKoUDgcClrtSsrHI3d3CiiimIKKKKACiiigAooooAKKKKACiiigAooooAKKKKACiiigAooooAKKKKACiiigAooooAKKKKACiiigAooooAKKKKACiiigAooooAKKKKACiiigAooooAKKKKACiiigAooooAKKKKACiiigAooooAKKKKACiiigAooooAKKKKACiiigAooooAKKKKACiiigAooooAKKKKACiiigAooooAKKKKACiiigAooooAMU0qKdRQBE0YPXmoJLcEdKuUmPalYdzHnsg2eKzJ7FlzgV1LRg9qge3DVDgmXGbORaNl4xQHO3Yyh0P8Lf09K6CewVh0xWZcWDJ0GaycGtUbKaZnNaK5xC2W7Rvww+h71DDJPZXAkwxIBUqwwcVbZSnDAEehpwfcm0neD1U9fzpc3Rj5eqEsNRVbuVpeEkAA9q147uORtqkehIPWsJ7UMSY8OT/AAucEfQ1AjNAwZZPKcHiNxjP0NLkXQV+51y4LlQcgVmalpKXbtLbuIbvGMn7knsf8ait9XRFG8YP8qui9SVGKuCpqWujGr7o464j8mZ4riHyZ0OGCnvVR2dMHaGUd161v62kc0lvKy/vnUh8dwOhrEaAg5HIzUOKN4y0NLQrhVt5jG3yF8k4xn2I9a0VilaSOc7hvPGDwAKo2EyyxLaNCgK+hwW/xrYuikdukSv5Y77+MVDjoS3qSpcsPuuTjv60251hLa2aR3BOMIO7H2rnLvX4LVpIlt5GKjCzH7hNZl5qkmpXC3Ny8ZcIEUIMKo9qtTsL2d2dTaayhxjIOOT2FaiauhxvKGuGtFOxpBKAGPyq3T8Kn81lOFPQ8E1SqtA6SbO7W9tJFyJQueuaX7TAy/fFcMstx8xD8DpjvT/tssZAZuvSr9tcz9gjtTPGM/OCKiFwoY7OMn14rl0vmOF3EgelTG9wh3NSdS4KlY6F3DodpwTxzUZbIwcY9DWEt+wJyeMetTLqbYAALCnzoORmmY15KHB9KpSuFJ3Hb61Wn1OQ8D5PYVWa5UuHc/MvTNTKa6FRg+pPPc5AeNS3v2+tRh3ZSzEEHuOMUyW/MpLM4Y5+6oxj6VXczy/cUgHqTUXbLsrFl5VRgx5yOKja+AU7UbHqeKjTTpJfvyMopTp0SHl3fHZjxT5JsXNFFdr9T8qnJz/AOakWW5duj4PTdxUwWGBflCBuwA/rTZLkqP7px+NHsW3qN1IisscZHnvhsdBzUkczMNkEW1PU9c1TQLI+SS0jnCg/1rXtbX7KvC5nfqT0FaqEYmXM2SonkgELulb8yfSuj0yBbdN0rD7Qw59F9hWTboIW3tzL0z6VpQy7sCtaaMajNeimRHKCn1qZBRRRQAUUUUAFFFFABRRRQAUUUUAFFFFABRRRQAUUUUAFFFFABRRRQAUUUUAFFFFABRRRQAUUUUAFFFFABRRRQAUUUUAFFFFABRRRQAUUUUAFFFFABRRRQAUUUUAFFFFABRRRQAUUUUAFFFFABRRRQAUUUUAFFFFABRRRQAUUUUAFFFFABRRRQAUUUUAFFFFABRRRQAUUUUAFFFFABRRRQAUUUUAFFFFABRRRQAUUUUAFFFFABSYpaKAGlQRUEluGB4qzRQBiXNirZyKyprJkJ25rrHjDdaqS2oPSspU0zWNRo5Vgy8MtNY7xtYBh0wecVvzWAbPH5VQl00joKxdNrY2U0zHe2yxMLBD/AHT0FRgTRHlWH+6a0ntnQ8jIpm0jj9DS5pLRlWi9ikX3rksGz1zTCqNz09/WtE2sMow6Y90qN9ImK7reZX/2W4NILooFFABGCR0PcVJknaHZpAT/ABHOKc4u7RgJLdh9VyDTVuoJD80e1v8AYP8ASmrA7sbMkfl4Kbs8baoNpdlOcrmNumV4I/CtMmMgLHKWVuquMYqCW2JH3sCm1FiTkiC3054A0YuUeEdA4w2fajyZEbO3P8qc63cYwWLKPxpi3UqEhkYg+g6VLpJ7DVRp6jmYGPIXD9AKiR5NwR1BUjqfWpVvbdsiQN7H3qRfsbkYbn0zUumyudDZMoAyAqSfmH933FRFgACW6dQOfxqyy26/wkj3zQGgXG0IvpmjkYcyIllZtqqN2MkDHWpAksq/M4UdwKkLBlwrxqPZhmo1aOPqyA9/mzmjkaDmuOEAHVjj2qRYIxwEBJ7k1C95Eo+aRfYLyTVSe8knUqGEMY6gfeNUoX6CcjRa9s4PlDBmHZRUTawqj5IQCOuWzWaEgjiLHnP3VB5PvToovkwkRPvitopRRk9TSivbi75DCNfZaryhzOVErtjvimpFcKflV09AvOatC3u2AZkjgB6mRuaba7iSK6r5YJyPf2qSG1nupN6BIkx/rZun1Aq5a6YJnBRZLlgeoG1BWqLKCHDXkqsw5EUfQfjU83YdirZWIEhFsvmSN9+dhgfgO1XpEitFIDmSU9WPQfSmS6izL5cKhF7AVHHC8rFmppa+Ym/uHxBic1pWytxkU23tOOa04YAoBxWsUZNksQwtSUAYFFUQFFFFABRRRQAUUUUAFFFFABRRRQAUUUUAFFFFABRRRQAUUUUAFFFFABRRRQAUUUUAFFFFABRRRQAUUUUAFFFFABRRRQAUUUUAFFFFABRRRQAUUUUAFFFFABRRRQAUUUUAFFFFABRRRQAUUUUAFFFFABRRRQAUUUUAFFFFABRRRQAUUUUAFFFFABRRRQAUUUUAFFFFABRRRQAUUUUAFFFFABRRRQAUUUUAFFFFABRRRQAUUUUAFFFFABRRRQAUhANLRQAwoDUbwBqnoosFyjJZq3aqcumq2eK2cCjaPSpcUylJo5qTTpEyUyKiKzRfeTNdMYwaie3UjlRUez7Fqp3MNLx1+Vicejcih0sbofv7ZD/tLwa05bCJuqiqr6YAcqcUnBj50Zr6HZSD9xcvEewbkVCdBvYxmOSKX6HFaL2cydDmowJ4/XipcF2LU33MiSzvYD80Mg/4DkVWd5M4YoG9Cu2ukW8uEP3z+NKb3fxNDFJ/vKKXIHOcwVjcfNBGfcGlFrZ5yYnA9FaugYaZJ9+xQH1HFRm10Y/8sXH0alaQ+ZGMYbdQNhnB75IIqJ7YP91yR/tKK3jZ6P2WT1+/SC20hTkCTJ/2qfvoLxZy7aapJYSLz14pRpkAHMxFdPjSF/5YnrzzSb9JUgi03H3NF59w93zOdWytk/i3H6VMtvBnAhy3bit77faof3Viv4in/wBp3B/1VtGv/AaVm92O/kY8VjMQClm2fXbV2PR70j5xHEvq56VaN1qcvAbaPao/sV7P/rJXOfU0cnqJzHDT7aHAn1E57iMUnnaZbnMFt5r/AN6UlqfHorMQXYmrkWjovUcVag+xLl3ZmyX93cDauVX0QYFNjtJZTlgfxroI9PROijNWVtlHRcVfIQ5roY0GnYxkVpwWYXtVxYgO1PAAqlEhyuMSIKOlSYooqiQooooAKKKKACiiigAooooAKKKKACiiigAooooAKKKKACiiigAooooAKKKKACiiigAooooAKKKKACiiigAooooAKKKKACiiigAooooAKKKKACiiigAooooAKKKKACiiigAooooAKKKKACiiigAooooAKKKKACiiigAooooAKKKKACiiigAooooAKKKKACiiigAooooAKKKKACiiigAooooAKKKKACiiigAooooAKKKKACiiigAooooAKKKKACiiigAooooAKKKKACiiigAooooAQgUhQGnUUARNCD3qM2wPpVmigCk1mD/CDULWCk/6utOilZDuzIOmRn+D9KYdKjP8J962qKOVD5mYn9kR+h/KkGjRAk45I54rcopciDnZiDSIvT9KkGlRAfd/SteihRQczM1dNiH8AqZbJB/DVyinZCuyuLZMdKeIV7VLRTsIYIwKXaKdRQAYFFFFABRRRQAUUUUAFFFFABRRRQAUUUUAFFFFABRRRQAUUUUAFFFFABRRRQAUUUUAFFFFABRRRQAUUUUAFFFFABRRRQAUUUUAFFFFABRRRQAUUUUAFFFFABRRRQAUUUUAFFFFABRRRQAUUUUAFFFFABRRRQAUUUUAFFFFABRRRQAUUUUAFFFFABRRRQAUUUUAFFFFABRRRQAUUUUAFFFFABRRRQAUUUUAFFFFABRRRQAUUUUAFFFFABRRRQAUUUUAFFFFABRRRQAUUUUAFFFFABRRRQAUUUUAFFFFABRRRQAUUUUAFFFFABRRRQAUUUUAFFFFABRRRQAUUUUAFFFFABRRRQAUUUUAFFFFABRRRQAUUUUAFFFFABRRRQAUUUUAFFFFABRRRQAUUUUAFFFFABRRRQAUUUUAFFFFABRRRQAUUUUAFFFFABRRRQAUUUUAFFFFABRRRQAUUUUAFFFFABRRRQAUUUUAFFFFABRRRQAUUUUAFFFFABRRRQAUUUUAFFFFABRRRQAUUUUAFFFFABRRRQAUUUUAFFFFABRRRQAUUUUAFFFFABRRRQAUUUUAFFFFABRRRQAUUUUAFFFFABRRRQAUUUUAFFFFABRRRQAUUUUAFFFFABRRRQAUUUUAFFFFABRRRQAUUUUAFFFFABRRRQAUUUUAFFFFABRRRQAUUUUAFFFFABRRRQAUUUUAFFFFABRRRQAUUUUAFFFFABRRRQAUUUUAFFFFABRRRQAUUUUAFFFFABRRRQAUUUUAFFFFABRRRQAUUUUAFFFFABRRRQAUUUUAFFFFABRRRQAUUUUAFFFFABRRRQAUUUUAFFFFABRRRQAUUUUAFFFFABRRRQAUUUUAFFFFABRRRQAUUUUAFFFFABRRRQAUUUUAFFFFABRRRQAUUUUAFFFFABRRRQAUUUUAFFFFABRRRQAUUUUAFFFFABRRRQAUUUUAFFFFABRRRQAUUUUAFFFFABRRRQAUUUUAFFFFABRRRQAUUUUAFFFFABRRRQAUUUUAFFFFABRRRQAUUUUAFFFFABRRRQAUUUUAFFFFABRRRQAUUUUAFFFFABRRRQAUUUUAFFFFABRRRQAUUUUAFFFFABRRRQAUUUUAFFFFABRRRQAUUUUAFFFFABRRRQAUUUUAFFFFABRRRQAUUUUAFFFFABRRRQAUUUUAFFFFABRRRQAUUUUAFFFFABRRRQAUUUUAFFFFABRRRQAUUUUAFFFFABRRRQAUUUUAFFFFABRRRQAUUUUAFFFFABRRRQAUUUUAFFFFABRRRQAUUUUAFFFFABRRRQAUUUUAFFFFABRRRQAUUUUAFFFFABRRRQAUUUUAFFFFABRRRQAUUUUAFFFFABRRRQAUUUUAFFFFABRRRQAUUUUAFFFFABRRRQAUUUUAFFFFABRRRQAUUUUAFFFFABRRRQAUUUUAFFFFABRRRQAUUUUAFFFFABRRRQAUUUUAFFFFABRRRQAUUUUAFFFFABRRRQAUUUUAFFFFABRRRQAUUUUAFFFFABRRRQAUUUUAFFFFABRRRQAUUUUAFFFFABRRRQAUUUUAFFFFABRRRQAUUUUAFFFFABRRRQAUUUUAFFFFABRRRQAUUUUAFFFFABRRRQAUUUUAFFFFABRRRQAUUUUAFFFFABRRRQAUUUUAFFFFABRRRQAUUUUAFFFFABRRRQAUUUUAFFFFABRRRQAUUUUAFFFFABRRRQAUUUUAFFFFABRRRQAUUUUAFFFFABRRRQAUUUUAFFFFABRRRQAUUUUAFFFFABRRRQAUUUUAFFFFABRRRQAUUUUAFFFFABRRRQAUUUUAFFFFABRRRQAUUUUAFFFFABRRRQAUUUUAFFFFABRRRQAUUUUAFFFFABRRRQAUUUUAFFFFABRRRQAUUUUAFFFFABRRRQAUUUUAFFFFABRRRQAUUUUAFFFFABRRRQAUUUUAFFFFABRRRQAUUUUAFFFFABRRRQAUUUUAFFFFABRRRQAUUUUAFFFFABRRRQAUUUUAFFFFABRRRQAUUUUAFFFFABRRRQAUUUUAFFFFABRRRQAUUUUAFFFFABRRRQAUUUUAFFFFABRRRQAUUUUAFFFFABRRRQAUUUUAFFFFABRRRQAUUUUAFFFFABRRRQAUUUUAFFFFABRRRQAUUUUAFFFFABRRRQAUUUUAFFFFABRRRQAUUUUAFFFFABRRRQAUUUUAFFFFABRRRQAUUUUAFFFFABRRRQAUUUUAFFFFABRRRQAUUUUAFFFFABRRRQAUUUUAFFFFABRRRQAUUUUAFFFFABRRRQAUUUUAFFFFABRRRQAUUUUAFFFFABRRRQAUUUUAFFFFABRRRQAUUUUAFFFFABRRRQAUUUUAFFFFABRRRQAUUUUAFFFFABRRRQAUUUUAFFFFABRRRQAUUUUAFFFFABRRRQAUUUUAFFFFABRRRQAUUUUAFFFFABRRRQAUUUUAFFFFABRRRQAUUUUAFFFFABRRRQAUUUUAFFFFABRRRQAUUUUAFFFFABRRRQAUUUUAFFFFABRRRQAUUUUAFFFFABRRRQAUUUUAFFFFABRRRQAUUUUAFFFFABRRRQAUUUUAFFFFABRRRQAUUUUAFFFFABRRRQAUUUUAFFFFABRRRQAUUUUAFFFFABRRRQAUUUUAFFFFABRRRQAUUUUAFFFFABRRRQAUUUUAFFFFABRRRQAUUUUAFFFFABRRRQAUUUUAFFFFABRRRQAUUUUAFFFFABRRRQAUUUUAFFFFABRRRQAUUUUAFFFFABRRRQAUUUUAFFFFABRRRQAUUUUAFFFFABRRRQAUUUUAFFFFABRRRQAUUUUAFFFFABRRRQAUUUUAFFFFABRRRQAUUUUAFFFFABRRRQAUUUUAFFFFABRRRQAUUUUAFFFFABRRRQAUUUUAFFFFABRRRQAUUUUAFFFFABRRRQAUUUUAFFFFABRRRQAUUUUAFFFFABRRRQAUUUUAFFFFABRRRQAUUUUAFFFFABRRRQAUUUUAFFFFABRRRQAUUUUAFFFFABRRRQAUUUUAFFFFABRRRQAUUUUAFFFFABRRRQAUUUUAFFFFABRRRQAUUUUAFFFFABRRRQAUUUUAFFFFABRRRQAUUUUAFFFFABRRRQAUUUUAFFFFABRRRQAUUUUAFFFFABRRRQAUUUUAFFFFABRRRQAUUUUAFFFFABRRRQAUUUUAFFFFABRRRQAUUUUAFFFFABRRRQAUUUUAFFFFABRRRQAUUUUAFFFFABRRRQAUUUUAFFFFABRRRQAUUUUAFFFFABRRRQAUUUUAFFFFABRRRQAUUUUAFFFFABRRRQAUUUUAFFFFABRRRQAUUUUAFFFFABRRRQAUUUUAFFFFABRRRQAUUUUAFFFFABRRRQAUUUUAFFFFABRRRQAUUUUAFFFFABRRRQAUUUUAFFFFABRRRQAUUUUAFFFFABRRRQAUUUUAFFFFABRRRQAUUUUAFFFFABRRRQAUUUUAFFFFABRRRQAUUUUAFFFFABRRRQAUUUUAFFFFABRRRQAUUUUAFFFFABRRRQAUUUUAFFFFABRRRQAUUUUAFFFFABRRRQAUUUUAFFFFABRRRQAUUUUAFFFFABRRRQAUUUUAFFFFABRRRQAUUUUAFFFFABRRRQAUUUUAFFFFABRRRQAUUUUAFFFFABRRRQAUUUUAFFFFABRRRQAUUUUAFFFFABRRRQAUUUUAFFFFABRRRQAUUUUAFFFFABRRRQAUUUUAFFFFABRRRQAUUUUAFFFFABRRRQAUUUUAFFFFABRRRQAUUUUAFFFFABRRRQAUUUUAFFFFABRRRQAUUUUAFFFFABRRRQAUUUUAFFFFABRRRQAUUUUAFFFFABRRRQAUUUUAFFFFABRRRQAUUUUAFFFFABRRRQAUUUUAFFFFABRRRQAUUUUAFFFFABRRRQAUUUUAFFFFABRRRQAUUUUAFFFFABRRRQAUUUUAFFFFABRRRQAUUUUAFFFFABRRRQAUUUUAFFFFABRRRQAUUUUAFFFFABRRRQAUUUUAFFFFABRRRQAUUUUAFFFFABRRRQAUUUUAFFFFABRRRQAUUUUAFFFFABRRRQAUUUUAFFFFABRRRQAUUUUAFFFFABRRRQAUUUUAFFFFABRRRQAUUUUAFFFFABRRRQAUUUUAFFFFABRRRQAUUUUAFFFFABRRRQAUUUUAFFFFABRRRQAUUUUAFFFFABRRRQAUUUUAFFFFABRRRQAUUUUAFFFFABRRRQAUUUUAFFFFABRRRQAUUUUAFFFFABRRRQAUUUUAFFFFABRRRQAUUUUAFFFFABRRRQAUUUUAFFFFABRRRQAUUUUAFFFFABRRRQAUUUUAFFFFABRRRQAUUUUAFFFFABRRRQAUUUUAFFFFABRRRQAUUUUAFFFFABRRRQAUUUUAFFFFABRRRQAUUUUAFFFFABRRRQAUUUUAFFFFABRRRQAUUUUAFFFFABRRRQAUUUUAFFFFABRRRQAUUUUAFFFFABRRRQAUUUUAFFFFABRRRQAUUUUAFFFFABRRRQAUUUUAFFFFABRRRQAUUUUAFFFFABRRRQAUUUUAFFFFABRRRQAUUUUAFFFFABRRRQAUUUUAFFFFABRRRQAUUUUAFFFFABRRRQAUUUUAFFFFABRRRQAUUUUAFFFFABRRRQAUUUUAFFFFABRRRQAUUUUAFFFFABRRRQAUUUUAFFFFABRRRQAUUUUAFFFFABRRRQAUUUUAFFFFABRRRQAUUUUAFFFFABRRRQAUUUUAFFFFABRRRQAUUUUAFFFFABRRRQAUUUUAFFFFABRRRQAUUUUAFFFFABRRRQAUUUUAFFFFABRRRQAUUUUAFFFFABRRRQAUUUUAFFFFABRRRQAUUUUAFFFFABRRRQAUUUUAFFFFABRRRQAUUUUAFFFFABRRRQAUUUUAFFFFABRRRQAUUUUAFFFFABRRRQAUUUUAFFFFABRRRQAUUUUAFFFFABRRRQAUUUUAFFFFABRRRQAUUUUAFFFFABRRRQAUUUUAFFFFABRRRQAUUUUAFFFFABRRRQAUUUUAFFFFABRRRQAUUUUAFFFFABRRRQAUUUUAFFFFABRRRQAUUUUAFFFFABRRRQAUUUUAFFFFABRRRQAUUUUAFFFFABRRRQAUUUUAFFFFABRRRQAUUUUAFFFFABRRRQAUUUUAFFFFABRRRQAUUUUAFFFFABRRRQAUUUUAFFFFABRRRQAUUUUAFFFFABRRRQAUUUUAFFFFABRRRQAUUUUAFFFFABRRRQAUUUUAFFFFABRRRQAUUUUAFFFFABRRRQAUUUUAFFFFABRRRQAUUUUAFFFFABRRRQAUUUUAFFFFABRRRQAUUUUAFFFFABRRRQAUUUUAFFFFABRRRQAUUUUAFFFFABRRRQAUUUUAFFFFABRRRQAUUUUAFFFFABRRRQAUUUUAFFFFABRRRQAUUUUAFFFFABRRRQAUUUUAFFFFABRRRQAUUUUAFFFFABRRRQAUUUUAFFFFABRRRQAUUUUAFFFFABRRRQAUUUUAFFFFABRRRQAUUUUAFFFFAH//2Q==